
Q: What are your thoughts about wearing loupes, and what should I look for when buying them?
A: Magnification is a must in restorative and most other dental procedures. In my opinion, it should be the standard of care. You cannot treat what you don't diagnose, and magnifying the image assists in your diagnosis, leading to better results. You do better restorative dentistry and surgical procedures when it is easier to visualize the field. So magnification is essential to good dentistry.
Magnification also allows for better posture while performing dental procedures.
I started with surgical telescopes years ago with 2.5x magnifiers, then increased to 4.5x. So I have both now in my office.
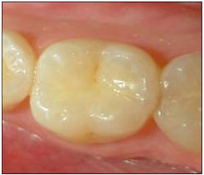
Look at the images below:
![]() ![]() ![]() |
| Left, without magnification. Center, 2.5x magnification. Right, 4.0x magnification. Images courtesy of Orascoptic. |
The following factors are important in choosing surgical loupes: resolution, depth of field, and field-of-view. Resolution is the ability to discern one object from another. Depth of field is the range of focus -- the distance between your eye and the object. This is very important so that you can have proper comfort and posture when treating a patient. Field-of-view refers to how much of the tooth you can visualize at one time. As the magnification goes up, the depth of field goes down.
![]() |
| Image courtesy of Orascoptic. |
Different types of surgical loupes or telescopes are available. The best are through the lens (TTL) loupes. TTL loupes allow for easy viewing of both magnified and unmagnified images without having to move the magnifiers out of the way. They give the greatest width and depth of field because the telescopes are closest to the eyes. Your eye prescription can be incorporated into the lenses.
Flip-ups are not customized and are heavier, but can be used by different staff members because they can be adjusted for the individual and shared.
![]() |
| Image courtesy of DentLight. |
I would not want to try to do dentistry without using magnification. There may be an adjustment period in getting used to using your loupes; if you have problems, contact the manufacturer, as small adjustments may be needed. This happened to me when the focal length was a little too long and I had to lean back in my chair too far. A simple correction put them spot-on.
For a new magnification user, the lower the magnification the easier it is to get used to using loupes. Most manufactures have a trial period so that you can return the loupes if you do not like them or cannot adjust to them. There is no reason not to give magnification a try.
Martin Jablow, D.M.D., is a practicing dentist and a self-professed technophile who lectures and blogs on a variety of technologies used in dentistry (dentechblog.blogspot.com). If you have a technology question for Dr. Jablow, e-mail it to us at [email protected].
The comments and observations expressed herein do not necessarily reflect the opinions of DrBicuspid.com, nor should they be construed as an endorsement or admonishment of any particular idea, vendor, or organization.
Copyright © 2010 DrBicuspid.com
























