
Q: I want to incorporate a camera into my practice. What should I be looking for?
A: Incorporating imaging into your office is a great idea. Images allow for better education of your patients and understanding of the treatment needed. Images also are a superb way to document pathology and treatment for your records and to submit to insurance companies.
There are two main types of cameras: the intraoral video camera (IOC) and digital still cameras. The digital cameras are divided into digital point-and-shoot and digital single-lens reflex (DSLR) cameras.
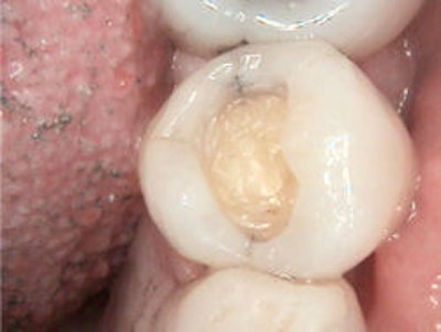
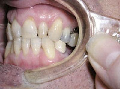
![]() |
| Image taken with an Air Techniques Acclaim intraoral camera. |
The IOC is a quick way to obtain images. You don't need any other equipment, and you don't have to remove your gloves to take the pictures because the video wand is covered in a protective barrier. The picture quality is more than adequate to educate a patient or submit to an insurance company.
Today's IOCs are now smaller than their cart-based predecessors. The cameras are USB-enabled and can connect directly into your chairside computer. Good IOCs will cost in the $3,000 to $5,000 range.
Point-and-shoot cameras produce good images, but DSLR cameras produce the highest-quality images. Both are simple to use but require setting up if you want to use them during a procedure. Following proper infection control procedures, you would want to remove your gloves before taking a picture. A good set of metal retractors and mouth mirrors are key to taking good digital images.
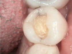
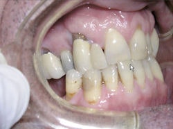
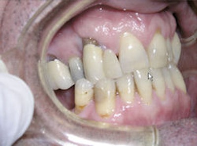
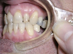
![]() ![]() |
| Images taken with an Olympus C-5050 point-and-shoot camera. |
Point-and-shoot cameras are less expensive then DSLRs. Good point-and-shoot cameras can be purchased for around $300, while DSLR kits can be purchased in the $1,800 to $2,500 range. DSLRs require a macro lens and ring flash to take high-quality photographs.
Consider purchasing a digital camera from a dental photo company so you have support if you have any problems with the equipment. Also, don't forget to install some software so you can manipulate and catalog your images on your computer.
Martin Jablow, D.M.D., is a practicing dentist and a self-professed technophile who lectures and blogs on a variety of technologies used in dentistry (dentechblog.blogspot.com). If you have a technology question for Dr. Jablow, e-mail it to us at [email protected]. If we use your question, you'll receive a $10 gift card from Amazon or Starbucks!
Copyright © 2009 DrBicuspid.com





















