Each Thursday DrBicuspid publishes a case study from dental expert Dr. Juan Yepes, MPH, DrPH, to share knowledge about the complexity and unusual nature of certain oral conditions and the modern treatment strategies that can provide relief and resolution to patients. As part of DrBicuspid's year-end recap, we've assembled the following list of the most popular case studies based on member views that intrigued and educated clinicians. Be sure to check back every Thursday for the latest DrBicuspid case study.
3-month-old boy with a bump on the mandible
A 3-month-old boy presented to the pediatrician with his mother. The boy was born full-term without complications. The mother told the doctor that she was having difficulty breastfeeding her son for the last 48 hours. Since the boy's birth, she told the dentist she had noticed a small white "bump" in the anterior mandible.

21-day-old-boy with two 'bumps' on the anterior maxilla
A 21-day-old healthy boy presented at the pediatrician's office with his mother. The boy was born full-term without any complications. The mother told the doctor that she noted the appearance of two "bumps" on the boy's anterior maxilla.
5-year-old boy with persistent self-mutilation
A 5-year-old boy has been intubated in the operating room, and the surgeon is ready to perform full-mouth extraction. The patient and his family immigrated to the U.S. from Southeastern Asia one year ago. The patient's history was significant for constant self-mutilation (biting his lower lip). Furthermore, the patient has developmental delays with hypotonic muscles.
17-year-old boy with several missing teeth

A 17-year-old boy presented to the pediatric dentist, referred by his family dentist, because of the unusual shape of his mandibular incisors and several missing teeth. The boy's parents told the pediatric dentist that they never trimmed the boy's nails and his hair had been always very thin. An intraoral exam revealed unusually shaped teeth.
12-year-old girl with a mandibular lesion

A 12-year-old girl presented to the pediatric dentist's office. She was referred by her family dentist because of a "bump" on the right posterior mandible, distal to tooth #30. The patient said that the lesion had been there for at least six months. The intraoral examination revealed a soft, painless, red, pedunculated, lesion over the posterior right alveolar ridge, distal to tooth #30.
18-year-old-woman with an unusually shaped tooth
An 18-year-old asymptomatic woman presented to the dentist for a new patient exam. The patient reported no complaints. Her past medical history included chronic upper respiratory infections and type 1 diabetes. As part of the recall exam, the dentist ordered a panoramic film and noticed an unusual appearance with tooth #32.
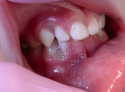
5-year-old with severe gingival pain

A 5-year-old boy presented with severe pain on the lower and upper right gingiva that he had been experiencing for the last three days. The boy did not have a fever, but his parents reported that the patient was only consuming liquids for the past 24 hours because of the pain. The intraoral exam revealed inflammation and necrosis of the interdental papilla.
1-month-old girl with a 'growth' on the maxilla
A 1-month-old girl presented at the pediatric dentist's office with her parents because of a "growth" on her maxilla. The parents noted the growth since the baby's birth. The intraoral exam revealed a pedunculated nodule, without erythema, that was mobile.
16-year-old girl with asymptomatic swelling

A 16-year-old girl presented to the oral surgeon, referred by her dentist, because of swelling affecting the left side of her face. The patient had experienced swelling for the past five to six weeks. A panoramic x-ray showed a lesion on the girl's posterior left mandible and maxilla.
9.5-year-old girl with gingival lesions
A 9.5-year-old girl presented to the oral surgeon’s office, referred by her family dentist, because of painless "growths" on her anterior maxilla. The patient told the surgeon that the lesions had been present for the last 10 months but had increased in size within the last month. The patient was asymptomatic.



















