Conservative management of class V lesions: A case study using an advanced adhesive and high-performance flowable composite

Dr. Troy Schmedding.Dr. Troy Schmedding.

In restorative dentistry, preserving natural structure and ensuring long-term function are central to achieving successful outcomes.

This clinical case presents a conservative direct restoration of a class V lesion on a maxillary anterior tooth using Clearfil Majesty ES Flow and Clearfil Universal Bond Quick 2 (Kuraray Noritake Dental). The approach prioritized patient comfort, aesthetics, and efficiency while using materials with excellent handling and physical properties.

Case presentation

A 72-year-old man presented with a history of restoration loss and recurring sensitivity on tooth #6. The patient reported that the previous restoration had dislodged, and he now experienced sensitivity localized to the cervical area. His medical history was noncontributory.

Diagnosis and treatment planning

Clinical examination confirmed the presence of a small lesion and sensitivity, likely due to exposed dentin (Figure 1). There were no signs of pulpal involvement.

Figure 1: Initial presentation of tooth #6 showing the class V lesion with dislodged previous restoration and exposed dentin. Images and captions courtesy of Kuraray Noritake Dental Inc.Figure 1: Initial presentation of tooth #6 showing the class V lesion with dislodged previous restoration and exposed dentin. Images and captions courtesy of Kuraray Noritake Dental Inc.
 

The diagnosis was a non-carious cervical lesion with minor secondary decay. A conservative, direct restoration was planned to address the exposed area and eliminate sensitivity.

Treatment protocol

Caries detection and preparation

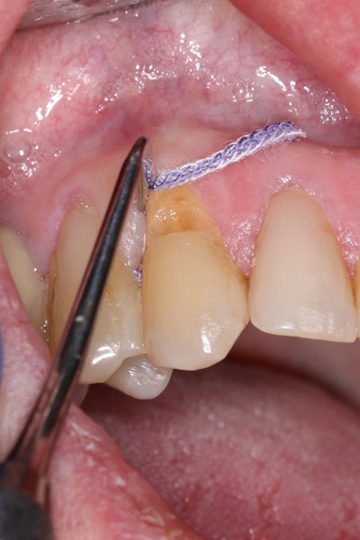
To improve isolation and soft-tissue access, a retraction cord was placed before initiating the procedure (Figure 2).

Figure 2: Placement of a retraction cord to improve isolation and access to the cervical area prior to preparation.Figure 2: Placement of a retraction cord to improve isolation and access to the cervical area prior to preparation.
 

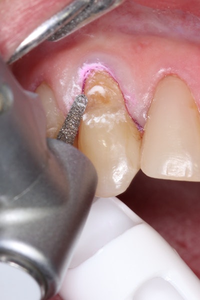
The tooth was evaluated using a caries indicator dye (Kuraray Noritake Dental), helping to identify any remaining infected tissue beneath the dislodged composite (Figure 3). 

Figure 3: Application of caries indicator dye to identify remaining infected tissue beneath the dislodged composite.Figure 3: Application of caries indicator dye to identify remaining infected tissue beneath the dislodged composite.
 

Decay removal was completed with a diamond bur, and the enamel was beveled using a starburst pattern to enhance aesthetic blending (Figure 4). This preparation design was chosen for visual integration rather than bond strength enhancement.

Figure 4: Preparation of the lesion completed with a diamond bur and starburst beveling pattern to enhance aesthetic blending.Figure 4: Preparation of the lesion completed with a diamond bur and starburst beveling pattern to enhance aesthetic blending.
Microabrasion

A PrepStart H2O Hydro Abrasion System (Danville Materials) was used to remove any residual plaque and biofilm, ensuring a clean bonding surface.

Etching and bonding

Selective etching of the enamel was performed using a phosphoric acid etchant followed by rinsing and air drying (Figure 5).

Figure 5: Selective etching of the enamel at the margins.Figure 5: Selective etching of the enamel at the margins.
 

Clearfil Universal Bond Quick 2 was then applied according to the manufacturer's protocol: A three-second application, gentle air-drying, and light-curing for 20 seconds (Figure 6). The simplified protocol and excellent wettability of the adhesive made it an efficient and user-friendly choice.

Figure 6: Application of Clearfil Universal Bond Quick 2 following selective etching of the enamel margins.Figure 6: Application of Clearfil Universal Bond Quick 2 following selective etching of the enamel margins.Restoration placement

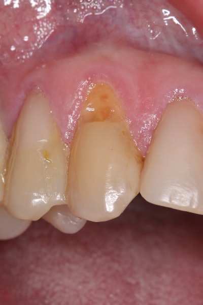
Clearfil Majesty ES Flow in shade UD (Universal Dark) was placed in 0.5-mm increments, with each layer light-cured prior to the next (Figure 7).

Figure 7: Incremental placement of Clearfil Majesty ES Flow in shade UD (Universal Dark) in 0.5-mm layers.Figure 7: Incremental placement of Clearfil Majesty ES Flow in shade UD (Universal Dark) in 0.5-mm layers.
 

Approximately three to four layers were used to fully restore the lesion to its final contour (Figure 8). The spherical fillers and light-scattering properties of the flowable composite allowed for seamless shade integration with the surrounding enamel.

Figure 8: Completed restoration after full placement of Clearfil Majesty ES Flow in multiple increments.Figure 8: Completed restoration after full placement of Clearfil Majesty ES Flow in multiple increments.Finishing and polishing

A fine-grit diamond bur was used to shape and finish the restoration (Figure 9).

Figure 9: Initial contouring and shaping of the restoration using a fine-grit diamond bur.Figure 9: Initial contouring and shaping of the restoration using a fine-grit diamond bur.

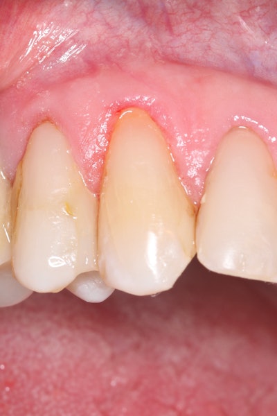
Final luster was achieved using a two-step polishing system from Meisinger USA (Figure 10). The retraction cord was removed at the end of the procedure.

Figure 10: Completed restoration immediately after polishing, showing excellent shade integration with the surrounding tooth structure.Figure 10: Completed restoration immediately after polishing, showing excellent shade integration with the surrounding tooth structure.
Rationale for product selection

When I select restorative materials, I rely on products that are not only backed by solid research but that also deliver consistently high performance in clinical situations. That's why I used Clearfil Universal Bond Quick 2 and Clearfil Majesty ES Flow for this case.

Clearfil Universal Bond Quick 2 is extremely easy to use. It has a very thin viscosity that adapts well to the tooth structure, and the application protocol is refreshingly simple -- a quick three-second application, gentle air-dry, and light-cure. Unlike some universal adhesives that come with more complex instructions, this product streamlines the process without compromising quality, which is important for consistency in busy clinical settings.

Clearfil Majesty ES Flow was chosen because of its outstanding physical properties and aesthetic blending capabilities. The new spherical filler formulation allows it to scatter light and blend into the surrounding tooth structure exceptionally well.

Despite being a flowable, it has the strength and durability I need for restorations like this one. I prefer working with sculptable materials that behave like a flowable but still give me confidence in their long-term performance, and this one checks all the boxes.

Outcome and patient satisfaction

The patient reported immediate relief from sensitivity and was pleased with the natural appearance of the restoration. The conservative approach restored both form and function with minimal tooth reduction while the selected materials ensured durability and long-term success.

Dr. Troy Schmedding is a 1993 honors graduate of the Arthur A. Dugoni School of Dentistry in San Francisco. He maintains a private practice in Walnut Creek, CA, where he focuses on aesthetic and functional dentistry. An accredited member of the American Academy of Cosmetic Dentistry, he lectures nationally and internationally on aesthetics and restorative materials. Schmedding also serves as a key opinion leader for numerous manufacturers, helping develop and bring new products to market.

The comments and observations expressed herein do not necessarily reflect the opinions of DrBicuspid.com, nor should they be construed as an endorsement or admonishment of any particular idea, vendor, or organization.

Page 1 of 434
Next Page