As my practice has grown, I’ve had to make more strategic purchasing decisions to keep up with the pace of clinical demand. For some time, I’ve wanted to add another digital x-ray sensor, but like many dentists, I hesitated because of the high cost of most units.
Digital x-ray imaging now has more options
Recently, I learned about the Acuity Direct X-Ray Photon Detection (DXPD) intraoral sensor from AMD. I’ve been familiar with AMD’s products for years, having used their Picasso lasers with excellent results, so giving their sensor a try felt like a natural next step. I’m very glad I made that decision.
Dr. Chris Catalano.Catapult Education.
If you do even a brief online search for dental digital x-ray imaging, you’ll find a crowded marketplace of sensors, each promising superior resolution, patient comfort, and seamless workflow integration. The reality is often less impressive; many systems still present challenges such as inconsistent image quality, clunky integration, patient discomfort, and above all, affordability.
The million-dollar question remains: Which sensor can deliver diagnostic confidence and smooth workflow at a price that makes sense for a busy practice?
This was the lens through which Catapult evaluators reviewed the Acuity DXPD intraoral sensor from AMD. Recognized for its Picasso lasers, AMD is committed to providing dentists with tools that combine advanced technology and dependable performance while keeping affordability at the forefront of product design.
The review
Catapult Education evaluators clinically tested the Acuity DXPD intraoral sensor using AMD’s dedicated native software. By removing the variability of third-party connections, evaluators were able to experience the sensor’s full potential.
The results were impressive:
80% of evaluators reported that Acuity images were more diagnostic than their current sensors.
They noted sharper resolution, improved contrast, and more precise interproximal visibility.
One evaluator noted that, “the Acuity sensor was more accurate for interproximal decay … clearer and less grainy.” Another stated, “I liked the resolution and sharpness of the images better than my current sensor’s images.”
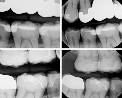
In my own practice, I compared two bitewings from the same patient, one taken with Acuity and one with our existing sensor, using identical exposure settings. The Acuity image immediately stood out. It showed noticeably sharper definition, cleaner contrast, and clearer interproximal visibility. The improvement was visible at a glance and reinforced the diagnostic advantages reported by our evaluators. This kind of image sharpness saves time and reduces retakes.
Figure 1: Four bitewings taken using the Acuity DXPD intraoral sensor.Dr. Chris Catalano.
Figure 2: Four identical bitewings, same exposure, taken from the same patient using another intraoral sensor.Dr. Chris Catalano.
The Catapult evaluators echoed similar experiences across their practices:
- “Sharper and clearer than my current sensor.”
- “The detail at interproximal contacts made early decay easier to detect.”
- “Much easier workflow once using the native software -- smooth and consistent.”
This combination of image quality and workflow efficiency translated directly into greater diagnostic confidence and improved patient care.
Acuity is priced at around $3,500 for Size 1 and $4,500 for Size 1.5, which evaluators considered fair and competitive. Where AMD truly differentiates itself is in its three-year manufacturer warranty and optional no-questions-asked coverage, a level of support not typically seen with competing products. This reflects AMD’s commitment to affordability, accessibility, and long-term value for the practicing dentist.
If you are in the market for a new sensor or are looking to add to your existing system, look no further than AMD’s Acuity DXPD digital sensor. The Acuity intraoral sensor demonstrates how the right combination of technology, clarity, and integration can raise the standard for diagnostic imaging.
Catapult Education.
With sharper images, enhanced interproximal detail, and a supportive warranty program, Acuity delivers both innovation and value. It’s for these reasons that Catapult has awarded Acuity its Vote of Confidence™, affirming its place as a reliable, high-performing imaging solution for today’s dental practices.
Dr. Chris Catalano practices cosmetic dentistry in Marin County, CA. He graduated with honors from the University of the Pacific School of Dentistry in 1991. Shortly after graduation, he moved to San Diego, where he practiced dentistry for 13 years. Catalano has served as an instructor in the Hornbrook Group, a part-time clinical instructor at the University of the Pacific Arthur A. Dugoni School of Dentistry. He has been active in evaluating new dental products, materials, and technology with several dental manufacturers.
The comments and observations expressed herein do not necessarily reflect the opinions of DrBicuspid.com, nor should they be construed as an endorsement or admonishment of any particular idea, vendor, or organization.




















