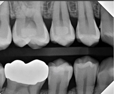
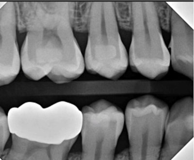
Figure 1: Quick! What’s going on with the distal of #6? It isn’t calculus.Images and captions courtesy of Dr. Ankur Gupta.
In March of 2011, I was doing a simple class II filling on a particularly difficult patient. She had a perfectly pleasant attitude and demeanor, but the muscles of her tongue, lip, and cheek were really difficult. She would often unexpectedly flex her lip or stick out her tongue.
My efforts to remove decay without much incident failed with one of those tongue movements. All of a sudden, the floor of her mouth, which situated itself a safe distance from the tip of my drill, elevated with an expected swallow, and I responded by drilling a hole into it.
And, oh, the blood.
Don’t worry. She lived, but the incident held with it some real psychological trauma for me.
Dr. Ankur Gupta.
But the story isn’t over. After completing the class II filling, all that was left was to remove the sectional matrix band and polish things up.
Her second unexpected movement came at the exact same time as I was attempting to remove the band. It was tight and required a bit more effort from me as usual, and when it finally released, it decided to slice a small laceration in her lip upon its exit from her mouth.
So there I was, with a hemostat and a bloody sectional matrix band in one hand, staring at two iatrogenic injuries from what is supposed to be a simple, run-of-the-mill procedure. I was, and remain, traumatized.
The same year, I attended my first CE course about the potential joy that could be brought to an office by incorporating clear aligner therapy into our growing repertoire of treatment options. The concept seemed enjoyable and promising.
I take some photos and a nice scan, collect a bunch of money, and deliver a sequence of trays over the course of a year and a half. The end of treatment includes a happy and now gorgeous patient, and a more financially wealthy me. How could I refuse?
The course did mention a small inconvenience. Through the course of treatment, it would often be necessary to remove a very small amount of interproximal enamel to facilitate the appropriate tooth movement, commonly referred to as interproximal reduction (IPR). The instrument of choice for this: a slow-speed disc, one that is attached to a straight handpiece.
A few reservations made their appearance in my mind. First, I had hardly ever used a straight handpiece inside someone’s mouth. I was used to holding it a certain way, during denture adjustments, with the body of the handpiece inside my palm, and the control directed by my thumb. It would be a learning curve for me to develop the skill to use the same device intraorally.
Second, and more significantly, the disc was metal and big.
Figure 2: As hard as I try, there is just not a very comfortable way for me to hold the handpiece for lower anterior IPR instances.
My job, during these incredibly common and routine IPR procedures, would be to:
- Orient the handpiece and disc perfectly parallel to the contact between two teeth.
- Angle the handpiece so that, as it descends toward the gingiva, it maintains a position of minimized enamel removal.
- Protect the tongue.
- Protect the lip.
- Protect the gingiva.
Under normal circumstances, I would be able to handle the requirements above, but circumstances weren’t normal. The visions of the inadvertent blood pool from my patient a few months prior haunted me. I wanted to successfully add clear aligner therapy to my practice repertoire, but I realized that the efficiency and convenience of disc/handpiece IPR just wasn’t for me.
Sadly, because of the lack of available alternatives, I continued using the discs but always with moderate tension and an overuse of cotton rolls, mirrors, and my thumb as barriers to another potential laceration.
Figure 3: While it is not difficult to retract the lip, it is often impossible to guarantee that the patient will not move their tongue during these posterior upper IPR instances.
The majority of my disc IPR procedures were successful, but a few were not.
Figure 4: The distal surface of #6 now exhibits an underhang.
While I can’t say exactly what happened in this instance, here’s my guess: There was a long, broad contact between #5 and #6, and I was getting more and more uncomfortable as the disc descended into the gingiva, aborting the gingival extension much too early. Rather than confirming smooth interproximal surfaces, I opted for the “I hope this works” technique.
Up to that point, I was familiar with thumb strips primarily as a means of removing interproximal cement during the final seating of veneers. I loved the effectiveness and level of control that I was consistently able to achieve with these strips.
Directa, a well-known brand offering their ContacEZ IPR Strips System for several years, recently introduced its ContacEZ Rainbow Set to the product evaluation team at Catapult Education. The kit highlights a sequence of slowly widening thumbstrips to achieve minimally damaging, highly precise, and well-controlled IPR. I was very interested in trying the product out.
I loved the product. It is definitely slower than using a disc, but not nearly as slow as I thought it would be. The sequence of strip thickness was clever and realistic, allowing me to slowly increase the IPR size without feeling like each transition was difficult or forced.
I was also impressed by the high level of precision. The clear aligner company that I primarily use often requests a diversity of IPR thickness. For example, they may want 0.4 mm between #21 and #22, but 0.6 mm between #26 and #27. With the rotary discs, I did not have control over the small differences in the requested IPR size. With the ContacEZ strips, my resulting IPR perfectly matched the requested IPR.
Figure 5: The “cutting” portion of the IPR strips is located within the U-shaped thumb grip, significantly reducing the potential for any soft-tissue injury.
Figure 6: The rainbow set is arranged in a way to maximize precision in achieving the exact IPR distance specified by the clear aligner plan.
Over 90% of the Catapult Education Evaluation team agreed with me, citing that “the biggest benefit is not having to use a handpiece. It is more comfortable for the patient and for me.”

The added control and patient comfort are game changers. It’s no surprise that the product earned the Catapult Vote of Confidence, with the majority of our evaluation team echoing my experience: ContacEZ makes IPR safer, easier, and more predictable.
To learn more about Directa’s ContacEZ IPR Strips, please click here.
Note: Learn more from Dr. Gupta below.
The comments and observations expressed herein do not necessarily reflect the opinions of DrBicuspid.com, nor should they be construed as an endorsement or admonishment of any particular idea, vendor, or organization.
Dr. Ankur A. Gupta graduated from the University of Michigan School of Dentistry. After completing a one-year general practice residency in Cleveland, he and his partner, Dr. Nisha Gupta, started North Ridgeville Family Dentistry in Ohio. Gupta is a member of the ADA, the Greater Cleveland Dental Society, the Ohio Dental Association, the ADA Success Speaker Corp, and he is a board member and speaker for Catapult Education’s Speaker Bureau. Gupta is an Academy of General Dentistry Program Approval for Continuing Education-certified provider.



















