Technological advancements shaped dentistry in 2025, from breakthroughs in AI to using human urine to improve dental implant materials. Based on reader views, these stories were DrBicuspid’s top stories of 2025.
Without further delay, here are the top digital dentistry stories from 2025.
5. AI may detect early childhood caries in individual teeth
Adobe Stock.
Researchers at the University of Hong Kong have developed an AI system that predicts the early childhood caries risk for individual teeth with more than 90% accuracy by analyzing oral bacterial changes. The research team aims to expand the system to broader populations and eventually use it as a clinical diagnostic tool.
4. Peeing our way to more dental implant material
Back in June, researchers at the University of California, Irvine created a biologically inspired system that converts human urine from wastewater into hydroxyapatite (HAp), a mineral found in tooth enamel and a key material used in dental implants.
Using synthetic yeast cells, the process produces a strong, lightweight mineral that gives tooth enamel its hardness. If scaled economically, urine-derived HAp may also serve as a renewable, biodegradable alternative to plastics and other construction materials.
3. This technology may help inexperienced dentists
A smartphone-based augmented reality (AR) system was found to improve the accuracy of dental bracket placement, especially for less experienced dentists.
Researchers found that using AR software helped guide bracket positioning without the need for 3D imaging or physical placement guides. While AR is considered a costly approach, it may lead to better patient outcomes than traditional methods used by orthodontists.
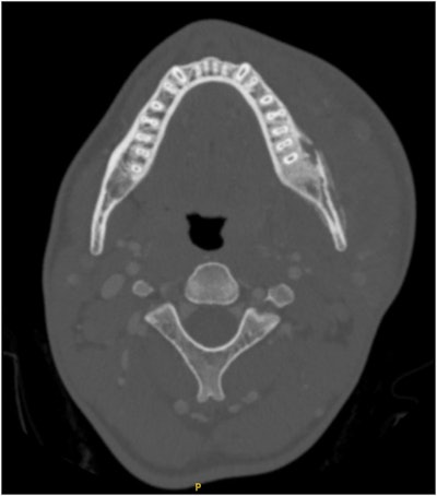
2. Teen develops deadly 'forgotten disease' following extractions
An axial CT scan demonstrates severe left hemimandible osteomyelitis with medullary and cortical osteolytic destruction and sclerosis, with small abscesses on the buccal side of the mandible. There is evidence of left masseter myositis and significant swelling of the masticator and left lingual space.Images courtesy of Podolsky et al. Licensed under CC BY-NC-ND 4.0.
A case report published in February 2025 described a rare instance of Lemierre syndrome in a healthy teen following sepsis from mandibular osteomyelitis after routine third-molar extraction, as revealed by x-ray and computed tomography scans.
The infection led to septic thrombophlebitis of the internal jugular vein, marking what is believed to be the first reported case of its kind in an otherwise healthy adolescent patient. The 17-year-old made a full recovery after prompt surgical debridement, antibiotics, and anticoagulant therapy.
1. Researchers grow humanlike teeth
Also in February, researchers at the Tufts University School of Dental Medicine grew humanlike teeth in a lab using pig and human tooth cells, then successfully implanted them into pigs.
The bioengineered teeth function similarly to natural teeth and could one day offer a living alternative to traditional dental implants. The breakthrough may pave the way for restoring damaged teeth and improving quality of life.




















