
A digital workflow can be used to layer composite resin restorations, according to a study published in the Journal of Prosthetic Dentistry. In the paper, researchers describe a process involving software and 3D templates to restore anterior teeth, helping to quickly create appealing restorations.
Restoring anterior teeth is an important aspect of dentistry, and dentists must consider the restoration's contour, color, anatomy, and translucency. Just as digital dental workflows have become increasingly popular so, too, have layering techniques for restoring fractured anterior teeth.
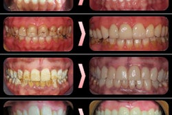
"Direct composite resin restorations have been widely accepted for treating fractured anterior teeth, and the layering technique has become popular for esthetically demanding situations," wrote authors, led by Junjing Zhang, a graduate student in the department of dental technology at Sichuan University in Chengdu, China (J Prosthet Dent, May 2, 2022). "However, the layered composite resin restoration procedure is technically sensitive, as it requires considerable practice and clinical experience to obtain optimal esthetics."
The study describes a digital workflow for layering composite resin restorations and some of the benefits of this process. Dentists have reported digital workflows can save time and improve the effectiveness of restorations compared to traditional processes, the authors noted.
The technique begins with using an intraoral scanner to create digital scans of the patient's maxilla and mandible and to obtain an occlusal registration. Once the scans are exported, practitioners can create a digital virtual articulator.
They can then design the digital waxing of the tooth using a CAD program. At this point, practitioners can adjust the tooth to have the correct occlusal contacts. They then make a cutback in the diagnostic waxing to get the right shape.
Next, practitioners can import the files they created into a digital dental software program to design the dentin and enamel templates. It's important that the two files are saved separately before they are imported into engineer software programs.
Once the designs are completed, they are milled using a 3D printer. The practitioner then places the layering templates over each other to create the direct composite resin-layered restoration.
Back at the chair, the dentist uses a dental dam to isolate the tooth and create an enamel bevel on the labial surface before placing the 3D-printed templates. Once everything has been fitted correctly, the practitioner finishes and polishes the tooth to ensure the restoration is the correct color to match the patient's other teeth.
"The traditional method requires more practice and chairside time to obtain optimal contour and color," the authors wrote. "To make the outcome more predictable, the layer thickness and shape of the resin, as well as the appropriate selection of the composite resin color, must be controlled."
While the method described in the study requires digital planning, the authors argue that the procedure can be done even by inexperienced dentists, and it improves efficiency and treatment quality. The biggest limitation is the technology required to use this method.
"Digital technologies allow the evaluation of occlusion to avoid occlusal interferences," the authors wrote. "Advantages of this technique include improvement in diagnostic efficiency and treatment, predictable esthetic outcomes, increased template precision, and facilitation of communication among dental team members and patients."



















