When practitioners look across the dental industry for new materials, products, and techniques, there are myriad options to choose from. There are some products that we utilize that do very specific things extremely well, but they may not be as strong in other aspects of our clinical theater.
When it comes to our everyday bread-and-butter dentistry -- the normal drill, fill, and bill as it were -- clinicians are looking for systems that are reliable, predictable, and cost-effective. One of those everyday types of procedures is class II restorations.
Dr. Ben Alvarez.
A quick jog down dental history lane reminds us that we have been trying to improve our technique and materials for our class II restorations ever since amalgam was introduced in 1830, along with the metal band to help hold the material in place and shape it. The bands were originally made from gold or silver, but later improvements led to the use of tin, brass, copper, and stainless steel.
In 1946, Dr. Joseph B.F. Tofflemire introduced his version of the dental matrix band, which is still widely used today. While there have been other band iterations, one might argue that the advent of the sectional matrix to modern conservative dentistry has had the greatest impact, allowing us to better care for our patients and achieve greater clinical success.
Evaluation
Ultradent, an international leader in introducing innovative and highly practical products to the clinical dental armamentarium, recently introduced a unique and effective dental matrix system called Halo. As a practicing dentist dedicated to incorporating innovative tools that enhance patient care and procedural efficiency, the Catapult Evaluators participated in an evaluation of Ultradent's Halo Sectional Matrix System.
This system, specifically designed to improve composite restorations, particularly in class II procedures, was reviewed by 23 dental professionals. The Halo Sectional Matrix System was primarily used for class II composite restorations, with several clinicians extending its use to complex multisurface direct composites. The system was well-received for several features, such as:
- Ease of use
- Anatomical accuracy
- Organizational efficiency

While the Halo Sectional Matrix System received top remarks, there are a couple of suggestions that we, as an evaluating group, noticed, like:
- Adjustments to band sizing
- Placement and removal of the band
The Halo Matrix System received substantial endorsements from our evaluators. A significant 85% of respondents indicated that they are likely or very likely to continue using the system, underscoring its perceived value in clinical settings.
Also, an overwhelming 95% of the respondents stated they would recommend the system to a colleague. As for the performance and handling of the system as a whole, 95% of respondents rated the system's performance as excellent or good, emphasizing its effectiveness in enhancing dental procedures.
Clinical example
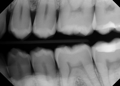
A patient presented for class II restorations due to primary decay on the interproximal surfaces of teeth #12 and #13 (Figure 1 and 2). Clinically the tooth was cold-tested and confirmed a normal response to cold stimulus.
Figure 1: Preoperative bitewing showing primary decay on the distal of tooth #12 and the mesial of #13. Images and captions courtesy of Dr. Ben Alvarez.
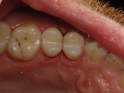
Figure 2: Pre-operative intraoral photo.
Prior to the delivery of anesthesia, a pre-procedural rinse with StellaLife (VEGA Oral Care) was used. After the patient achieved profound anesthesia with 4% Septocaine with 1:100k epinephrine (Septodont), the tooth was prepared in a normal manner to remove decay and create a preparation that would minimize the configuration factor when curing the restoration (see Figures 3 and 4).
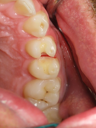
Figure 3: Unfinished preparation photo showing decay into the dentin.
Clinically after removing all the decay and confirming that decay was removed using Sable Seek (Ultradent), Clean & Boost (Vista Apex) was used to clean and etch the prep after it had been scrubbed for 20 seconds and rinsed. Doing so not only removes the smear layer and debris, it also etches the enamel and can help with minor bleeding to help achieve an ideal surface to cement or bond to.
Figure 4: Final preparations before the restorations.
I also will scrub the preparation for five to 10 seconds with DesensiMAX (Vista Apex) and remove any excess with a dry microbrush, leaving the surface wet but not pooled. RE-GEN Universal (Vista Apex) is then applied in three separate coats and scrubbed into the site for 20 seconds. Then the entire preparation is air-thinned, leaving a hybrid layer ready for bonding.
As part of my standard class II protocol, after the bond has been thinned out, I will place a very small layer of RE-GEN Flowable (Vista Apex) at the base of the proximal box and co-cure it and the bond together (see Figure 5).
Figure 5: Restoring adjacent Lesions with the Halo Matrix, which show adequate contour and great sealing at the gingival margin.
The prepared site is rebuilt using a combination of everX Flow (GC) and Exquisite Restoration nanofill composite (Vista Apex) in multiple layers. After final curing, the NiTi ring is removed, and the edges are cured from both sides before final removal of the separating wedge and matrix band.
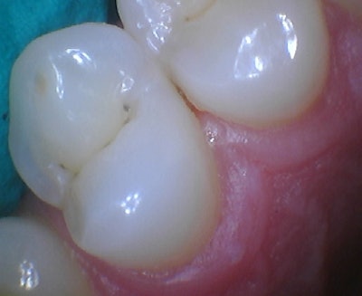
Final adjustments are made to remove any bulky contours and then flash and finalize the occlusion. Final polish is achieved with sequential use of Alpen ShapeGuards (Coltene) (Figure 6). In my hands, these produce a very high luster and smooth out any minor irregularities, then the occlusion is rechecked and contacts are verified.
Figure 6: Direct final restorations after polish. Note the adequate contours and broad contact zone.
Conclusion
As dentists, we are always looking at ways to be more cost-efficient in our techniques and with the products that will ultimately create an equal to or more superior outcome. Catapult Education has developed stringent criteria that must be met in order to attain the Catapult Vote of ConfidenceTM, requiring that a certain percentage of evaluating clinicians must rate a product as either very good or excellent, must intend to recommend the product to colleagues, and also must intend to continue using the product in their practice.
This endorsement is based on its ease of use, clinical benefits, and robust positive feedback from the dental community. For these reasons, it is without hesitation that we would bestow the Catapult Vote of ConfidenceTM to Ultradent for their Halo Dental Matrix System.
Learn more from Dr. Alvarez in our exclusive podcast discussion here.
Dr. Ben Alvarez graduated from the University of Missouri - Kansas City College of Dentistry in 2014. Dr. Alvarez is a recognized fellow in the Academy of General Dentistry. He is actively involved with the Missouri Academy of General Dentistry and has served as a past board member as the continuing education/PACE coordinator. Dr. Alvarez enjoys lecturing on CAD/CAM, patient diagnosis, and cone-beam computed tomography. He is the owner of Artizan Dental Care in Marshfield, MO.
Catapult is a premier dental education company with over 21 years of experience in providing world-class continuing education, product reviews, and now savings opportunities through our buying group, Catapult Grow. Its esteemed Speaker Bureau and evaluator team lead all product and service reviews, with companies paying a fee with the understanding that the Vote of Confidence™ award is not guaranteed. Catapult delivers honest and unbiased feedback through thorough evaluations and surveys, often aiding companies in improving their offering prior to market release. Its commitment to dental excellence allows organization to work with a diverse range of clients, ensuring impartiality -- no favoritism, just constructive feedback. Visit CatapultEducation.com to learn more.
The comments and observations expressed herein do not necessarily reflect the opinions of DrBicuspid.com, nor should they be construed as an endorsement or admonishment of any particular idea, vendor, or organization.



















