
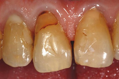
This case involved a 67-year-old man, a long-time patient of the practice, who presented for a restorative appointment. The dentist's oral evaluation had revealed recurrent subgingival decay on tooth No. 8 under an old composite restoration.


Treatment plan
The clinical objective was to restore the tooth while performing a gingivectomy to access and remove the substantial subgingival decay. A clean apical margin also was needed to achieve proper restoration. Both procedures were to be undertaken with no anesthesia using a Solea laser (Convergent Dental).
Technique
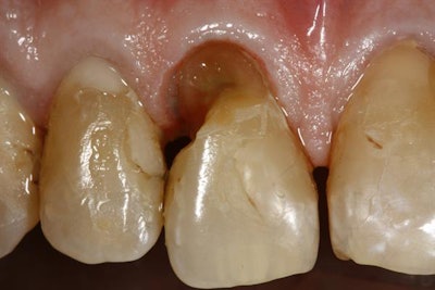
Gingiva was removed using the laser's 1-mm spot size at a cutting speed of between 30% and 50% of maximum with the mist setting at 20%. This procedure took less than one minute and did not require any anesthetic.
The decay and old composite were then removed, again using the 1-mm spot size but at a cutting speed between 30% and 60% of maximum and mist setting at 100%.

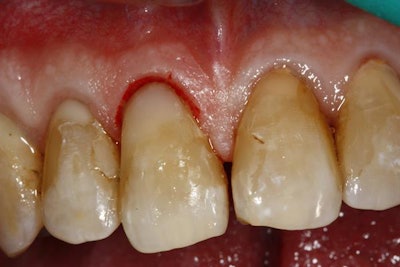
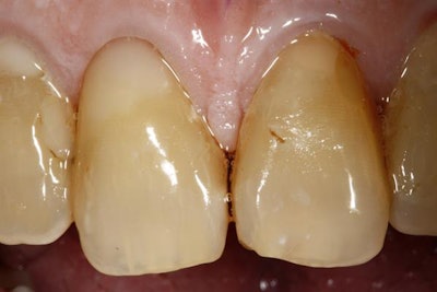
The enamel was beveled with a Two Striper TS2000 diamond bur (Premier Dental). The tooth was then restored and finished. It was etched with Ultra-Etch (Ultradent), then Scotchbond Universal (3M) was applied, and the tooth was restored with TPH Spectra HV (Dentsply Sirona). The entire procedure was completed blood-free. Note that the slight redness seen in image 4 was caused by the finishing bur at the gingival margin.

Results
With no topical or injectable anesthetic necessary, the total procedure was completed in less than 30 minutes. With traditional instruments and techniques, the patient would have required an injection in the maxillary anterior region (one of the most uncomfortable places to receive an injection), regardless of the dentist's skill level. This procedure would also have taken much longer to complete than it did with the laser.

Soft-tissue management also saved a substantial amount of time. In addition, the patient was excited to avoid an injection, evade possible postoperative pain, and not have to be subjected to numbness after the appointment.
Joshua Weintraub, DDS, served in the U.S. Navy Dental Corps as a lieutenant in Okinawa, Japan, and Washington, DC. He is currently in private practice in Stevenson, MD, and is an international lecturer on laser dentistry.
The comments and observations expressed herein do not necessarily reflect the opinions of DrBicuspid.com, nor should they be construed as an endorsement or admonishment of any particular idea, vendor, or organization.