In what is believed to be the first reported case of its kind, an immunosuppressive drug prescribed for lupus-induced kidney disease caused gingival enlargement in a 27-year-old woman. The case report was published in Clinical Advances in Periodontics.
Within a month of discontinuing the use of voclosporin, a newer calcineurin inhibitor (CNI) used primarily to treat lupus nephritis, the woman experienced reduced gum enlargement and less pain. This report highlights the need for clinicians to be aware of this possible adverse effect, the authors wrote.
“This report highlights for the first time, to the authors' knowledge, the development of gingival enlargement in response to voclosporin therapy and the significant improvement of the condition upon cessation of drug usage,” wrote the authors, led by Dr. Dimitris N. Tatakis of the division of periodontology at Ohio State University's College of Dentistry (CAP, June 26, 2025).
A 27-year-old woman with systemic lupus erythematosus and lupus nephritis
In July 2023, the woman started on voclosporin for her medical conditions. Also, she was taking numerous other medications, including losartan, dapsone, and omeprazole. Within 60 days of starting voclosporin, gingival irritation became increasingly problematic, the authors wrote.
Despite remission of her autoimmune disease, she continued experiencing gingival sensitivity, and it affected her ability to eat solid foods. In January 2024, she went to the clinic with the primary complaint of spontaneous gingival bleeding in addition to pain and impaired oral intake. These problems started two months earlier but had worsened, they wrote.
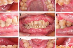
A clinical exam revealed generalized gingival enlargement. Also, her gums were inflamed, and there was visible plaque. During periodontal probing, she experienced extreme sensitivity and profuse bleeding in response to probing. The woman was diagnosed with generalized gingivitis and drug-influenced gingival enlargement.
Initially, the patient underwent supra- and subgingival debridement of the affected area, as well as prophylaxis to eliminate plaque and calculus. She was given oral hygiene instructions and a prescription of 0.12% chlorhexidine antimicrobial mouthrinse to aid in plaque control, the authors wrote.
At a reevaluation one week later, the tissues remained erythematous and enlarged. She also reported that her symptoms remained the same. A month after the initial consultation, she underwent a biopsy. The results confirmed a diagnosis of ulcerated inflammatory fibrous hyperplasia. This diagnosis was consistent with drug-influenced gingival enlargement, they wrote.
The woman declined having a gingivectomy and instead agreed to nonsurgical treatment.
During two more monthly follow-up appointments, she had thorough debridement with minimal improvements. Due to negligible improvement and her declining the gingivectomy, her nephrologist agreed to reduce her dose of voclosporin.
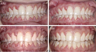
Clinical images. (A) At initial presentation (January 2024); (B) one month after initial debridement and oral hygiene instruction (February 2024); (C) following two more debridement sessions (April 2024); (D) one month following cessation of voclosporin therapy (June 2024).Images and captions courtesy of Tatakis. Licensed under CC BY-NC-ND 4.0.
In May 2024, she took her last dose of voclosporin. A month later, her gum overgrowth reduced significantly, her pain was gone, and her eating ability improved.
Since she stopped taking voclosporin, the woman experienced a mild relapse of her renal disease, requiring her to be prescribed obinutuzumab. However, this medication did not cause any gum complaints, the authors wrote.
Awareness of the side effects
Alterations or reactions can often occur in the gums in response to some systemic drugs. Some medications, specifically those used to treat autoimmune conditions, can cause the gums to grow excessively.
Given the considerable negative effects linked to more commonly used CNIs, along with the promising performance and the improved safety of voclosporin, it has become an increasingly attractive option for patients. Since voclosporin has only been used for a short period of time, it is important to report new and previously unreported adverse effects, like gum overgrowth, the authors wrote.
“Voclosporin, a new CNI, can cause gingival enlargement as demonstrated in this case report, thus expanding the list of possible adverse effects of this medication,” Tatakis and colleagues wrote.




















