
People who believe that luck decides their fate may face a greater risk of developing severe gum disease compared to those who think their actions change their destiny. The research was presented on June 16 at the European Federation of Periodontology's EuroPerio10 conference in Copenhagen, Denmark.
Researchers studied two types of people: those who had an external locus of control, meaning they believe their actions have little influence over what happens to them, and those with an internal locus of control, meaning individuals who believe their actions can directly affect their life.
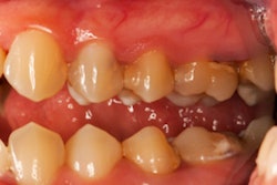
An external locus was independently associated with more tooth loss and attachment loss, indicating greater severity of periodontitis compared to an internal locus of control, according to a press release issued by the federation.
"The finding that this belief system is linked with oral health should encourage dental professionals to assess the emotional state of their patients and, if necessary, refer them to appropriate psychological care," the study's author, Dr. Sebastien Jungo of the University of Paris, said in the release.
To explore the relationships between locus of control beliefs and oral health, researchers collected data from 79 patients who attended a periodontal consultation at Bretonneau University Hospital in Paris. The average age of participants was 46, and two-thirds were women.
The data included lifestyle information like smoking status and personal information like income. Also, the patients completed questionnaires to determine their locus of control, stress level, and depressed mood.
Clinicians recorded each patient's degree of plaque control and number of teeth. During a second consultation about two weeks later, gum disease severity was assessed by looking at bleeding on probing, pocket depth, and maximum attachment loss.
Of the participants, 20 patients had an external locus of control and 59 had an internal locus of control. In the external locus group, participants had lost an average of three teeth compared to one tooth in the internal locus group. Also, the maximum attachment loss was significantly higher at 9.95 mm in the external locus group versus 8.38 mm maximum attachment loss in the internal locus group.
After adjusting for factors that could influence the relationship between locus of control and oral health, researchers found that external locus of control was associated significantly with the depression score, education level, number of teeth, and maximum attachment loss, with odds ratios of 1.21, 0.6, 0.67 and 1.31, respectively, according to the release.
For patients who don't believe they have much control over the trajectory of their life, clinicians should ask them questions such as "According to you, what causes your disease?" and "How can it be treated?"
Patients' responses could be critical to optimizing their adherence to treatment, Jungo said.
"The findings suggest that this group may need encouragement to consider periodontitis a manageable disease, particularly if they are feeling low," he said.




















