
Treating periodontal disease does not reduce inflammatory markers in renal dialysis patients, according to a poster presentation at the recent International Association for Dental Research (IADR) conference in San Diego.
The link between renal disease and periodontal disease has recently been examined in a number of studies, explained lead author Meggan Wehmeyer, DDS, who was completing her residency in periodontology at the University of North Carolina when she conducted the research. Today she is an assistant professor at the University of Texas Health Science Center.
A 2009 study in Kidney International (April 2009, Vol. 75:7, pp. 746-51) examined the relationship between periodontitis and cardiovascular disease mortality in outpatients on hemodialysis and found that patients on dialysis who have periodontal disease die at a faster rate, according to Dr. Wehmeyer.
"Our findings suggest a need for larger studies to confirm this connection, along with intervention trials to determine if treating periodontitis reduces cardiovascular disease mortality in dialysis patients," the authors of the 2009 study concluded.
As a follow-on to that research, Dr. Wehmeyer and her colleagues decided to examine the effect of treating periodontal disease on renal dialysis patients.
In their study, which was supported in part by grants from the National Center for Research Resources, the National Institutes of Health, and OraPharma, they tested whether periodontal intervention in renal dialysis patients can result in a reduction of the inflammatory marker interleukin 6 (IL-6) and an improvement in serum albumin (metabolic marker) compared with no treatment.
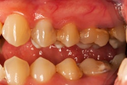
The researchers looked at 47 patients with moderate to severe periodontal disease who were receiving maintenance dialysis. Twenty-four of the subjects were randomized to the treatment arm and received scaling and root planing with adjunctive local antimicrobial therapy (Arestin), while 23 were randomized to the control arm. Clinical periodontal parameters and serum were collected at baseline, three months, and six months and analyzed for IL-6 and serum albumin.
Among the study findings:
- Compared with the untreated control patients, periodontal therapy was associated with a statistically significant improvement in clinical parameters of periodontal disease at three months, but similar improvement was not observed at six months.
- While periodontal therapy had an initial positive impact on the periodontal health of the treated subjects, this condition did not persist over time.
- Changes in levels of IL-6 or serum albumin were not statistically significant at three or six months.
"The initial beneficial impact of the periodontal treatment was not sufficient to significantly interfere with the levels of IL-6 or serum albumin in this population," the authors concluded. "Further studies are needed to determine the role of periodontal therapy in the dialysis population."
This was basically a feasibility study to look at how well renal dialysis patients tolerate periodontal therapy, which sets the stage for larger clinical trials, Dr. Wehmeyer noted.
"Patients with systemic conditions associated with periodontal disease need to be carefully monitored for periodontal disease and may need to be referred to a periodontist for management," she concluded. "While this study lacked the power to make definite conclusions, improving periodontal health is likely to be one component of a larger plan to improve overall systemic health."



















