
With quarantine restrictions easing up or lifting entirely in most states throughout the U.S., dental practices have reopened and dentists and their teams have begun to treat patients again on a regular basis, as they are no longer restricted to treating only emergencies.
Kristine Aadland, DMD.I recently interviewed Kristine Aadland, DMD, a general practitioner in Vancouver, WA, about some of the steps she has taken to facilitate the successful restart of her practice. In Washington state, dental practices were given the go-ahead to fully reopen for nonurgent dental care as of May 18.
As a note, Dr. Aadland started her own "dream practice" in 2009. She said she chose to differentiate herself in a competitive marketplace by creating a spa-like dental office that utilized technology to make her and her team better and more efficient.
Q: What it will take to succeed during this COVID-19 era?
A: Resilience. We will have to be adaptable to the new standards, new personal protective equipment (PPE), new ways -- whatever that may be. Personally, one of the most challenging things about this has been constant changes made daily or sometimes even hourly. It can be exhausting to try to stay up on all the minutiae, but having a great team and trusted colleagues to bounce ideas off makes a huge difference. The CEREC (Dentsply Sirona) community, in which I am deeply immersed, has always been incredible with sharing information, and I know I wouldn't have gotten through these weeks and months without these friends.
Q: What steps should a dental practice take to help ensure a successful practice reopening and restart after quarantine?
A: It is imperative to stay current on the latest U.S. Centers for Disease Control and Prevention (CDC), Occupational Safety and Health Administration (OSHA), and state guidelines. As a profession, we already have great infection protocols in place. In addition, many offices are having staff wear N95 masks and face shields. Disposable gowns for each patient have also been very popular.
We have taken for granted that we can order as much PPE as we needed, whenever we needed it, and that will no longer be the case. U.S. manufacturers are trying to meet this need, but I'm told the ramp up will be six to nine months. Face shields will help reduce splatter and conserve our masks, which is fantastic. It has also been inspiring to watch the dental community come together with 3D printing and sharing STL files to help fill the need of masks, as well as different suction devices.
Other infection protocols that have been put into place are air filters, ultraviolet (UV) lights, fogging machines, and extra suction devices to reduce aerosols, as well as plexiglass barriers throughout the office.
Q: How are you contacting patients to let them know you are back in business and ready to see them again?
A: Our front office team has been incredibly busy reaching out to patients during this time. The team does this through traditional phone calls, text, email, and Facebook.
Technology has changed the entire practice, even the front office. Many dental offices today use a third-party messaging system to contact patients via text or email. In my office we use Weave, which is an integrated Voice over Internet Protocol (VoIP) phone system that also allows us to text and email our patients.
We have integrated forms that patients fill out, like the new COVID prescreening form, through OperaDDS. Patients fill out all intake forms on their phone, tablet, or computer prior to coming into the office and that information populates our dental software, such as Eaglesoft (Patterson Dental). This minimizes contact risk through paper and pens and adds efficiency with our office flow.
Q: In what ways will post-COVID dentistry affect patient appointments?
A: We are asking patients to text us when they arrive and wait in their cars until their treatment room is ready. They will be greeted by a team member with a contactless thermometer to ensure their temperature is less than 100.4°. We will have minimal extra people in the room such as family members or team members. Patient checkout has also changed. If a patient has a balance, we will collect or do a "text-to-pay" while he or she is still in the room and we will handle treatment plans mostly through email.
Q: Can you speak to any newly mandated patient infection control measures such as pretreatment oral rinses, etc.?
A: We are having all patients prescreened, their temperatures are taken at the door, and they are given a pretreatment oral rinse, such as 1.5% hydrogen peroxide. We have also mandated that any aerosol-generating procedure is done with an Isolite (Zyris) or ReLeaf (Kulzer) in place to help with extra suction.
Q: How do you talk to patients about the infection control protocols in place to ensure their safety?
A: We reinforce the fact that we have always had strict protocols in place for infection control and have added features like True HEPA 13 (high-efficiency particulate air) filters, more high evacuation suction, and pretreatment oral rinse. We decided to be a little creative with how we show our patients the new protocols by producing a series of funny dental spoof videos. We did one as a team a few years ago and had so much fun. With the extra time recently, we thought, "Why not add in some humor?" Also, when we call patients prior to appointments, we let them know what to expect as well as send them an email.
Q: How will post-COVID dentistry affect certain dental team members' job functions and the way they perform their work on patients and around the dental office?
A: In our office, we really love to connect with our patients, take time with them, and talk to them. We have a busy office where team members are constantly helping each other turn rooms or with anesthetic, or the doctors will even jump in and help seat crowns or see emergency patients. Now with limited PPE, as well as trying to minimize contact, this will change the dynamic of our office.
In the front office, there is not only a physical barrier of plexiglass, but the front office team is trying to connect and talk though a mask, which minimizes facial expression and nonverbal communication. In the back office, the need to stay in one room until we are finished also changes workflow. We'll do most of our exams through intraoral photos, radiographs, and messaging through dental software instead of being directly in front of the patient.
Q: In a post-COVID world, clinical and operational efficiency in the dental office (always important) is now even more important. What are some ways you ensure optimal clinical efficiency in your practice?
A: Having efficient procedures in place will be a key to staying profitable during these times.
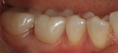
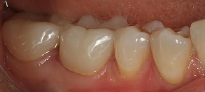
All images courtesy of Kristine Aadland, DMD.As a CEREC dentist, I'm in love with the Katana zirconia block (Kuraray Noritake). It has the ideal balance of strength and beauty. With Primemill (Dentsply Sirona), I can mill this block in just over four minutes, which is a huge time saving. I also use Panavia SA Cement Universal (Kuraray Noritake), which contains two different monomers, allowing it to bond to a variety of materials and eliminating extra steps to prepare the crown.
My tray is cleaner and more streamlined because there are fewer bottles, and my team is more efficient because we have one protocol for all restoration types.
For example, here is my zirconia crown seating protocol: We prepare the intaglio of crown by air abrading the zirconia, steam clean it, try it in to check my margins and contacts, and then use Katana cleaner on both the crown and the tooth before I cement it. The cement is easy to clean up and looks great on a radiograph.

If I want to increase bond strength for a less retentive prep design, I add Clearfil Universal Bond Quick (Kuraray Noritake) to the tooth. I also use this for my bonding procedures. My goal is to minimize the number of different products used to simplify procedures.
The Katana bridge block has changed my workflow simply because it mills in just over 18 minutes instead of the usual 45 minutes required of other bridge blocks. This changed bridge appointments from being two appointments to just one without a lot of extra chair time.
A few minutes here and there doesn't always seem like a big deal until you add them up and consistently work faster. The importance of it does feel more dramatic now with the extra PPE requirements, and I am very thankful for the efficiency.
Joe Maida is a 20-year clinical and technical writing veteran with a focus on all things dental. When he was young, his father told him, "Be true to your teeth and they'll never be false to you." He applies that wisdom to everything he does.
The comments and observations expressed herein do not necessarily reflect the opinions of DrBicuspid.com, nor should they be construed as an endorsement or admonishment of any particular idea, vendor, or organization.



















