
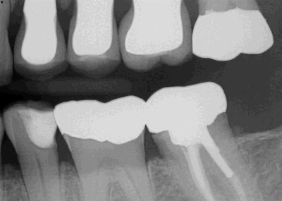
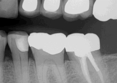
A 70-year-old man presented with a failing direct composite on tooth #20 with recurrent caries on the gingival margin. This tooth also presented as a "food trap" issue for the patient. Upon clinical and radiographic examination, it became apparent that the gingival margin was not restored properly on the existing distal-occlusal lingual (DOL), which led largely to the failure of the composite.
Disclaimer: Dr. Matthew Burton is the creator of VursaWedge and founder of Burton Dental Innovations.
The goal of this case was to achieve an excellent DOL direct composite restoration. This would help avoid the need for an indirect restoration and allow the patient to function at 100%.

Technique
The existing DOL composite restoration was removed using a small round diamond bur. Underlying decay was removed and the walls of the preparation were cleaned and beveled using a fine diamond bur.
The preparation was quite wide and extended slightly subgingival near the lingual portion of the preparation. The wide box, curving tooth, and subgingival extension of the preparation add to the complexity of predictably restoring these types of cases.

Next, Vitrebond (3M) was placed on the dentin and cured. Selective etching was performed followed by Scotchbond (3M) application and cure. A Garrison 3D Fusion sectional matrix (Garrison) was placed, followed by the placement of a VursaWedge (BurtonBands) from the buccal aspect.

Next, a Triodent Ring (Ultradent) was placed over the sectional matrix and in between the split wings of the VursaWedge on the lingual. After the ring placement, Scotchbond (3M) was placed and cured.

Surefil SDR (Dentsply Sirona) was then placed in the gingival 1-1.5 mm of the proximal box and cured, followed by three layers of Filtek Supreme (3M). Finally, the restoration was polished using a Meisinger polishing kit. Postop radiographs confirm the gingival margin.

Design makes a difference
Deep and wide proximal restorations can pose great challenges in efficiency and outcome. I designed VursaWedge to allow the ring and matrix to work together, giving the user more range and confidence in complex, direct composite restorations.
Current wedge systems struggle in allowing dentists to properly seal gingival margins past the line angle of the tooth. For this case, a VursaWedge was utilized to overcome this challenge. Notice the split wings of the VursaWedge on the lingual portion of the box; these play a pivotal role in quickly and effectively restoring cases such as these.
In this case, the wings of the VursaWedge were paired with the Triodent Ring. VursaWedge is designed to be "split" by the ring, allowing the split wing to tightly press against the entire gingival margin, thereby sealing the entire length of the margin. This design also transfers the pressure from the ring to the split wings, allowing the force of the ring to remain off the sectional matrix and the sectional matrix to maintain its form.
The founder of Burton Dental Innovations (BurtonBands.com), Dr. Matthew Burton developed the BurtonBands and VursaWedge matrix system to help dentists achieve more predictable and favorable class II composite results with improved efficiency and optimal outcomes. Burton specializes in class II composite restorations at his private practice in Frankfort, IL, and has leveraged his insights to develop and market new solutions for dentists who face the same challenges in their own practice.
The comments and observations expressed herein do not necessarily reflect the opinions of DrBicuspid.com, nor should they be construed as an endorsement or admonishment of any particular idea, vendor, or organization.