
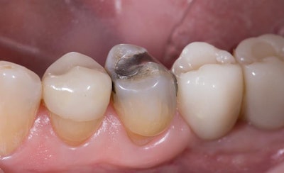
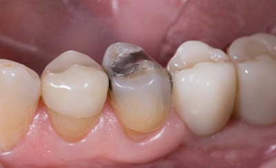
A 65-year-old healthy man presented for a hygiene visit and exam with a large, failing distal-occlusal amalgam on tooth #20, a mesial marginal ridge fracture, mesial recurrent decay, and buccal cuspal wear with cupping erosion (figure 1, below). An intraoral image illustrating the condition of the tooth was taken with Primescan (Dentsply Sirona) for patient education. The clinical image was shown to the patient and, upon being advised of the findings, he agreed to proceed with a CEREC (Dentsply Sirona) single-visit, full-contour crown restoration.

Clinical objective
The clinical objective of this case was to restore the tooth in the most efficient and predictable manner utilizing the best materials and techniques for long-term results.
Technique
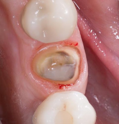
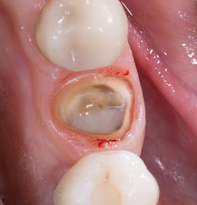
Once the failing amalgam was completely removed and the mesial caries excavated, Kuraray's Caries Detector was applied to assist in verification of complete caries removal. A composite buildup was placed using Clearfil Universal Bond Quick (Kuraray Noritake) and composite resin (figure 2, below).

Clearfil Universal Bond Quick is just as its name indicates: universal and quick. It was chosen for its ease of use without compromised strength. It was used for bonding of the composite buildup and again later for bonding of the Katana STML A3 crown (Kuraray Noritake) with Panavia SA Cement Universal (Kuraray Noritake) translucent cement.
After the composite buildup and preparation were complete, the lower jaw, upper jaw, and buccal bite were recorded using the CEREC Primescan in the acquisition phase. The virtual models were created, and the crown was designed using the CEREC 5.1.1 software (figure 3, below).

The crown restoration was fabricated using a Katana Zirconia STML A3 block (Kuraray Noritake) with Dentsply Sirona's Primemill and SpeedFire oven. In my opinion, the Katana Zirconia STML block is a perfect combination of strength and esthetics. This super translucent multilayer block allows the clinician to increase or decrease the desired chroma by positioning the restoration design in the block. The benefits of this block are plentiful: There are no shade gradation gaps, each layer has the same high strength, and the need to stain and glaze is eliminated.
These features -- combined with ability to mill the block with the "superfast" setting of the CEREC Primemill in minutes -- followed by a shortened sintering cycle of 18 minutes, make Katana an excellent choice for single-visit crowns. Note that prior to sintering, the sprue was removed and the restoration was prepolished using Meisinger twist polishers. The strength and the esthetics of this block do not disappoint. When placed adjacent to all-ceramic lithium disilicate crowns, the clinician will note comparable esthetics and translucency.
Once the Katana STML crown was prepolished (figure 4, below), sintered, and microetched, it was tried back in the mouth to verify proper contacts and occlusion. After the try-in, Katana cleaner (Kuraray Noritake) was used to clean the intaglio of the crown. This is very easy to do. Simply scrub the cleaner onto the intaglio surface of the restoration for 10 seconds or more and then rinse and dry. The purpose of the cleaner is to reinforce and enhance the bond strength after contamination during the try-in due to saliva, blood, gingival fluid, water, etc. If you choose to use it, Katana cleaner replaces having to use phosphoric etch or other cleaning products.

To deliver the crown for final placement, Panavia SA Cement Universal was used in conjunction with Clearfil Universal Bond Quick. Panavia SA universal cement contains MDP (10-methacryloyloxydecyl dihydrogen phosphate), eliminating the need for a separate zirconia primer. It allows for extremely easy cleanup, which makes it even more advantageous.
Advantages
This case demonstrates how predictably and efficiently a full-coverage zirconia crown can be designed, produced, and placed in a single visit using Katana STML and the CEREC Primemill and SpeedFire oven. The results were the delivery of a restoration with superb strength of 763 MPa without compromising the esthetics.
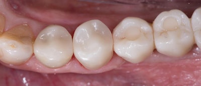
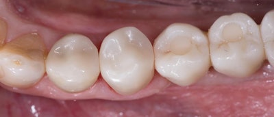
The final restoration blended seamlessly amongst the neighboring teeth and restorations (figure 5, below). The patient expressed his gratitude and appreciation for the appearance of his new crown and the convenience of having it fabricated and delivered in a single visit.

Karyn M. Halpern, DMD, MS, earned both a Doctorate in Dental Medicine and a master's degree in higher education from the University of Pennsylvania in 2002. She completed a general practice residency in 2003 at NewYork-Presbyterian/Weill Cornell Medical Center in New York City. Dr. Halpern is the owner of Port Jefferson Smiles, a multispecialty, high-tech private dental practice located in Port Jefferson Station, NY.
The comments and observations expressed herein do not necessarily reflect the opinions of DrBicuspid.com, nor should they be construed as an endorsement or admonishment of any particular idea, vendor, or organization.