
Think about how far we've come with replacing teeth today. From single teeth to single arches, dental implants have revolutionized how we treat our patients today. So much so that I felt compelled to remind us all that there are times when dental implants are an incredible solution -- and there are times dental implants are not the answer to our patient's problems.

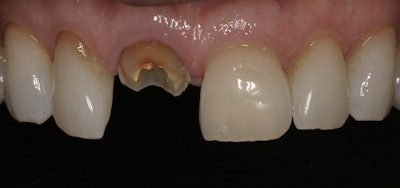
Take this case as a prime example. Our patient presented with a fractured endodontically treated central incisor. Its partner in crime also had been endodontically treated. It also had a whopping open margin and recurrent decay interproximally.
Insert knee jerk dental reflex today:
- There's not much tooth left.
- Let's extract both teeth and place dental implants -- or not.
There are many questions I ask myself when situations like this present. Here are three I would highly recommend you ask yourself before you autopilot the implant.
How did we get here?
This patient is 45 years old. When she was 20, trauma led her to needing the original treatment. That tells me a few things. The origin had zero to do with her home care or lack thereof. The present scenario, 25 years later, had little to do with it.
Why a manmade root over Mother Nature's root?
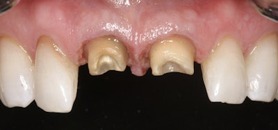
Too often, we look at this clinical presentation and we assume our ability to achieve a ferrule effect and win for another 25 years is limited. There's a simple path to the truth though, yes?
All we did was break out our trusty Hu-Friedy perio probe and measure. In this case, our patient had 3-mm pockets. Translation, we could move her tissue 1 mm to 2 mm without violating biologic width. Further translation: See the preparation image below.

Same two teeth, 3 mm to 4 mm of very healthy tooth, and healthy sulcus remains.
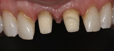
Enter two custom posts and cores, and we have created a foundation for another 25 years of success on a patient who has a proven track record for doing her part.

Will you be able to preserve the bone and soft tissue if you go manmade?
Now think of the challenges extraction would have yielded:
- Thin buccal plate on two long-standing endodontically treated teeth
- The process to preserve the interproximal papillae
- The likely dreaded black triangles

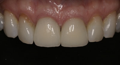
So when are dental implants not the answer? When we can achieve a long-term, highly aesthetic results, and eliminate the risks we know come with extraction and implant placement.
Friends, we've come a long way in replacing teeth today. Maximize dental implant therapy when it is your best option. Maximize Mother Nature when her solution is superior.
Until next time ...



















