
A patient with tooth enamel defects helped scientists discover a key aspect of enamel mineralization. The findings may one day help researchers better understand cell behavior and mitochondrial function.
 Rodrigo Lacruz, PhD. Image courtesy of New York University.
Rodrigo Lacruz, PhD. Image courtesy of New York University.In a research article, senior author Rodrigo Lacruz, PhD, and colleagues described a young male patient with severe caries and dental abscesses. This patient also had a genetic mutation affecting one of his ORAI proteins, which help cells regulate calcium ions (Ca2+).
The researchers used genetically modified mice to test how similar ORAI mutations affect tooth structure. They found one ORAI protein in particular plays a crucial role in enamel mineralization. Their findings were published in Science Signaling (April 23, 2019, Vol. 12:578, eaav4663).
"Mutations in genes encoding the ORAI proteins prevent Ca2+ from entering the enamel cells, affecting not only the formation of enamel crystals but also the functioning of mitochondria and other intracellular Ca2+ pumps," Lacruz, an associate professor at New York University College of Dentistry, told DrBicuspid.com. "Mutations in the ORAI1 gene result in hypomineralized enamel in humans, which require extensive dental restorations as the primary and permanent teeth are severely affected."
From patient presentation to scientific discovery
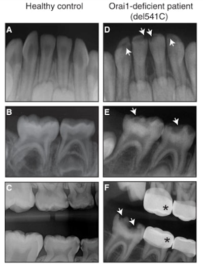
Lacruz and colleagues began their research by analyzing images of a dental patient with severe enamel defects. When the patient was 8 months old, he presented with "enamel hypoplasia of the primary mandibular central incisors and hypomineralization of primary maxillary incisors," the authors noted.
The condition of the patient's teeth continued to deteriorate over time. At around 6 years old, he presented with hypoplasia of the primary molars, severe caries, and multiple dental abscesses. Two years later, he had permanent molar incisor hypomineralization and posteruptive breakdown.
The patient had a complex medical history, including combined immunodeficiency, ectodermal dysplasia, and decreased muscle tone. He also had a nonfunctioning copy of the ORAI1 gene.
"In general, patients with ORAI1 mutations suffer from recurrent infections, likely severe, but in some cases, they can be mild," Lacruz said. "In addition, they will almost certainly present with amelogenesis imperfecta with hypomineralization and may also show abnormal nail coloration. The dental and nail defects can be used as biomarkers."
The researchers suspected the patient's ORAI1 mutation was responsible for his enamel defects. To test their hypothesis, they used mice genetically engineered without various ORAI genes.
Mice without ORAI1 had decreased calcium entry in their enamel cells, which resulted in defective enamel structure. The same effect did not occur when the researchers removed other ORAI genes. This calcium ion regulation could be the link between the patient's dental defects and immune problems, Lacruz noted.
"Ca2+ is an important element in the mineralization of dental enamel, but Ca2+ also acts as a messenger in cells and can, directly or indirectly, turn on genes," he said.
The role of dentists in identifying diseases
“Dentists are in a privileged position to help advance this type of research.”
	
The patient underwent a bone marrow transplant and chemotherapy to treat his combined immunodeficiency, the authors reported. They did not, however, think the enamel defects stemmed from this treatment because the defects appeared in radiographs before the transplant and chemotherapy.
Lacruz and colleagues are already looking at how a lack of calcium ions can affect cells and cellular functions, including mitochondrial function and related processes. Lacruz also emphasized dentists have an important role when working with patients who present with recurrent infections and hypomineralization.
"These two criteria can help identify potentially new mutations in these genes allowing us to better understand the function of the channel in diseases," he said. "Dentists are in a privileged position to help advance this type of research as teeth can be great markers for identifying diseases."



















