Hyaluronic acid (HA), a humectant added to some skincare products, may support gum healing and regeneration, leading to better clinical results when combined with nonsurgical therapy or surgery, according to a review recently published in Periodontology 2000.
Additionally, HA may improve the clinical attachment level (CAL) and reduce gingival recession when compared with standard treatments, the authors wrote.
“The available data from preclinical and clinical studies provide robust evidence on the effects of HA to enhance periodontal wound healing and regeneration,” wrote the authors, led by Andrea Pilloni of the Sapienza University of Rome (Periodontol 2000, August 18, 2025).
HA is gaining interest in periodontics for its role in wound healing and regeneration. Its effects depend on molecular characteristics, yet many clinicians are unaware that different types of HA exist with varying biological functions. This study aimed to review current preclinical and clinical evidence on HA’s therapeutic applications in periodontology, they wrote.
The review examined the key biological properties of HA and its effects on periodontal tissue cells, followed by findings from animal studies assessing HA in different types of defects. The researchers then summarized clinical evidence on HA use in nonsurgical therapy, regenerative surgery, and mucogingival procedures, concluding with recommendations for clinicians.
Preclinical and clinical studies revealed that HA accelerates wound healing by controlling inflammation and stabilizing blood clots when applied to the root surface of the tooth. It promoted cementum regeneration by influencing mineralized tissue markers and cementoblast-specific genes. Also, HA supported bone regeneration by stimulating osteoprogenitor growth while preserving stemness and regulating the balance between self-renewal and differentiation, they wrote.
Figure 1: Clinical illustration of early healing at different time intervals at a vertical release incision site. (A) intraoperative HA application, (B) suture, (C) one day after surgery, (D) three days after surgery, (E) one week after surgery, (F) two weeks after surgery.Images and captions courtesy of A. Pilloni et al. Licensed under CC BY 4.0.
Additionally, HA enhanced cell adhesion, proliferation, and migration while upregulating genes linked to scarless healing and growth factor expression.
Both animal and clinical studies suggested that HA contributed to periodontal regeneration and significantly improved probing depths and clinical attachment levels when combined with nonsurgical or surgical therapy.
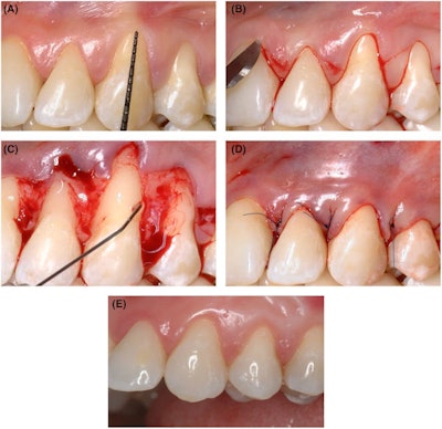
Figure 2: Clinical illustration of a multiple type 1 (RT1) gingival recession treated by coronally advanced flap in combination with HA. (A) baseline, (B) flap design; (C) split-full-split-thickness flap elevation and HA gel application; (D) flap suture; (E) clinical follow-up at 24 months.
However, further research is needed to develop standardized protocols for HA use in dental settings, the authors added.
“These findings support the central hypothesis that HA is a valuable adjunct in periodontal regenerative/reconstructive surgeries, contributing to better wound healing outcomes,” Pilloni and colleagues concluded.




















