A healthy man had bone tissue death in his jaw following an anesthesia injection for a cavity, which is believed to be the first reported case of this complication. The case report was published on January 21 in the International Journal of Surgery Case Reports.
This case highlights the importance of using a proper technique to prevent osteonecrosis, or avascular necrosis, which occurs when the blood supply is interrupted, resulting in bone tissue death, during the administration of intraosseous anesthesia, the authors wrote.
"We advocate for proper understanding of the potential risks of intraosseous anesthesia and recommend adequate clinical training before applying this method to patients," wrote the authors, led by Dr. Joris Geusens of the department of oral and maxillofacial surgery at University Hospitals Leuven in Belgium.
A 35-year-old healthy man
In November 2023, a nonsmoking man with no remarkable medical history underwent treatment for a deep cavity. Intraosseous anesthesia along with regular infiltration were administered, according to the report.
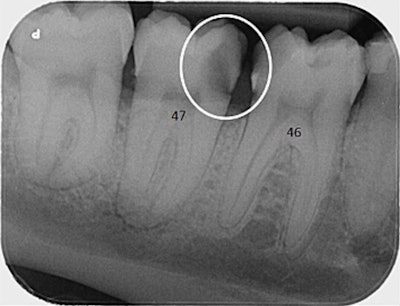
(d) Initial periapical radiograph of tooth 47 shows a cavity on the mesial side (white circle). Images and captions courtesy of Geusens et al. Licensed under CC BY-NC-ND 4.0.
About four months after the treatment, the man went to hospital after his dentist referred him. A periapical x-ray revealed an infection and periapical osteolysis, and a cone-beam computed tomography (CBCT) scan revealed a complete sequestration of the interdental septum between teeth #46 and #47, as well as periapical osteolysis extending to the mandibular canal, the authors wrote.
The CBCT revealed the presence of sequestered bone between tooth #46 and tooth #47 (red arrow). The sequester is shown in coronal, sagittal, and axial views as well as in a 3D reconstructed view.
To treat him, tooth #47 was removed and a sequestrectomy was performed under local anesthesia. During the procedure, a loose, nonbleeding fragment of necrotic bone, which was detached and isolated from the healthy bone by a layer of granulated tissue, was discovered. A small groove was noted, which was likely to be the original drill hole that was created when the intraosseous anesthesia injection was administered during the deep cavity treatment, they wrote.
Necrotic interdental septum with trajectory of the needle clearly visible (red arrow).
After treatment, the patient was advised to return if he experienced increasing pain, swelling, or fever. At his two-week and three-month follow-up appointments, he had recovered without complications.
The importance of technique
Frictional heat from sustained or excessive pressure during needle perforation and the absence of cooling water may affect blood flow during anesthesia administration. This especially may occur in dense, bony regions with constrained blood supply, like the interdental septum, the authors wrote.
In this case, the authors hypothesized that the focal necrosis was likely due to frictional heat generated during the procedure along with the local administration of a vasoconstrictor. The production of heat due to prolonged contact or excessive force during intraosseous anesthesia procedures is worsened by the lack of water cooling, which can overheat the bone, they wrote.
"This case report brings attention to a rare complication of intraosseous anesthesia, offering valuable insights that may help clinicians identify and prevent similar cases," Geusens and colleagues wrote.



















