“What’s needed isn’t fewer posts -- it’s better ones.”
For decades, placing a post after endodontic treatment to further retain and reinforce he core was considered the standard of care -- regardless of the tooth involved. Yet even with their widespread use, a common refrain echoes throughout dental offices everywhere: "I don't like posts."
This conclusion was made for a variety of reasons. First, post preparation drills often had greater radii than the canal space, making it difficult and unpredictable to prep, especially on multirooted premolars.
Dr. Ankur Gupta.
Second, because many canals are not straight lines, but preparation drills were often long, straight, and cylindrical, dentists were again faced with unpredictability in creating a post space that was long enough to effectively retain the post. Third, even if everything was done perfectly, there was still a chance that the forces put on the post would result in root fracture and eventual failure of the hard-earned restoration.
Lastly, the way in which posts are successfully cemented in the canal space often involves cement that gains its efficacy through a traditional light cure. However, it is impossible to somehow allow light to travel down the length of the tiny post space, especially when it is obscured by the post itself.
Despite these drawbacks, the need to retain and reinforce cores in compromised teeth hasn't gone away. In fact, it remains critical in cases where much of the original structure is gone. So while post use has declined, it's far from obsolete. What's needed isn't fewer posts -- it's better ones.
Enter the Dentatus Luscent Post System, a product that seems to check every box on a modern clinician's wish list:
- Easy to use
- Predictable
- Safe
- Aesthetically pleasing
- Radiopaque
- Strong
- Able to be cured around
- Possesses flexural strength like dentin
A legacy of innovation
Dentatus, founded in 1930, is no stranger to pioneering breakthroughs. Known for their Swedish-made, precision dental instruments --like the Profin handpiece and interproximal finishing systems -- they also revolutionized post systems. In 1932, they introduced the first prefabricated endodontic post. Fast-forward to the late 1990s, and Dentatus unveiled the Luscent Post: a translucent, light-transmitting fiberglass post that brought innovation to a field in desperate need of it.
The Luscent post is unique among its competitors in a variety of ways. First, it is entirely made of unidirectional fiberglass rods that are encapsulated in a resin matrix. This is especially important when trying to cure, as these rods transmit light.
Second, because the post comprises whitish/translucent rods, there is no worry about a dark metal post showing through the buildup material. Also, the flexural modulus of Luscent anchors is almost identical to that of dentin, approximately 20 GPa.
Lastly, because the posts come in a variety of sizes, there is most often an appropriately sized post for any tooth, eliminating alterations to the posts.
Dr. Arthur Tomaro.
The Dentatus Luscent post was provided to the Catapult Education Product Review team. They were asked to use the post in real-life clinical scenarios and compare the clinical handling and performance of this post compared to competitors.
The posts were used in both anterior and posterior endodontically treated teeth. Some of the comments included:
- “Do not change anything!
- “I love this system.”
- “The system is so easy to use. One step is correlated to the previous step, and the post handling is very convenient.”
The only negative feedback? A suggestion to improve packaging and instructions for the U.S. market. But even so, 100% of the reviewers said they would recommend the system to a colleague, and all rated it as either "good" or "excellent."
Final verdict

The Luscent Post System delivers on what clinicians have long been asking for: a safer, stronger, and more predictable way to retain cores after endodontic therapy -- without sacrificing aesthetics or ease of use. Its ability to transmit light for deep curing, along with its dentinlike flexibility, gives it a clear edge over other post systems.
Given the strong clinical feedback and proven performance, the Luscent Post System has earned the Catapult Vote of Confidence™. This endorsement reflects our belief that it sets a high standard in dental post systems, delivering outstanding results for both dentists and their patients.
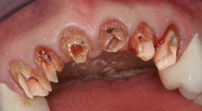
Figure 1: A patient presented with a desire to have better aesthetics and an improved smile. Her present porcelain-fused-to-metal (PFM) restorations were completed several years ago in her home country. Radiographs indicated teeth #6-11 required retreatment of existing root canals. Images courtesy of Dr. Arthur (Tony) Tomaro.
Figure 2: Upon removal of the first PFM, tooth #10 demonstrates what the remainder of #6-11 would consist of.
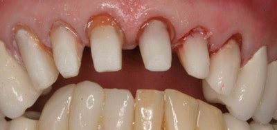
Figure 3: Post-root canal retreatment on #6-11, the canals were initially drilled with a Gates-Glidden #6, for an initial pilot pathway. This was followed by the placement of Dentatus Luscent-R Anchor reamers corresponding to the color of posts. The goal was to place the posts 75% down the canal.
Figure 4: The image shows the post cemented with Kettenbach Visalys CemCore cement, a dual-cure cement, necessary due to curing light possibly not traveling to the apex of the posts. The canal was initially treated with the Visalys CemCore tooth primer for 20 seconds, then air-dried and paper-point dried. The posts were treated with Visalys CemCore restorative primer for one minute and air-dried. The cement completely set in five minutes.
Figure 5: Final preparations with the best ferrule preps that could be accomplished. Cores were fabricated with Visalys CemCore with an opaque shade so the final restoration shade is not influenced by the core.

Dr. Ankur A. Gupta graduated from the University of Michigan School of Dentistry. After completing a one-year general practice residency in Cleveland, he and his partner, Dr. Nisha Gupta, started North Ridgeville Family Dentistry in Ohio. Gupta is a member of the ADA, the Greater Cleveland Dental Society, the Ohio Dental Association, the ADA Success Speaker Corp, and he is a board member and speaker for Catapult Education’s Speaker Bureau. Gupta is an Academy of General Dentistry Program Approval for Continuing Education-certified provider.
Dr. Arthur (Tony) Tomaro is a recognized academician and clinician, an accomplished author, and lecturer. Tomaro received his Doctor of Dental Surgery degree from the University of Michigan and previously his bachelor’s and master’s degrees in biology and histology there. He enjoyed 26 years of private practice in Grand Rapids, MI. He then relocated to Las Vegas to become the director of clinics at the Las Vegas Institute and opened a private practice there. Tomaro serves on the editorial board of national dental publications and is an independent consultant and clinical researcher for many dental manufacturers and laboratories. He was awarded an ADA lifetime membership, was past chairman of the Nevada Dental Association, is a present member of the Illinois State Dental Society, and the Chicago Dental Society.
The comments and observations expressed herein do not necessarily reflect the opinions of DrBicuspid.com, nor should they be construed as an endorsement or admonishment of any particular idea, vendor, or organization.



















