

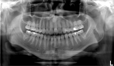
Standard panoramic image from a PC-1000 system using a CdTe sensor from Ajat, self-corrected with tomosynthesis software. Images courtesy of Dr. Robert Langlais.

Although the front teeth are distorted, the back teeth are no longer crossed. By manually positioning the patient in the system, the contacts are now open.

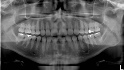
The tomosynthesis software then autocorrected the image to bring the front teeth into focus.















