
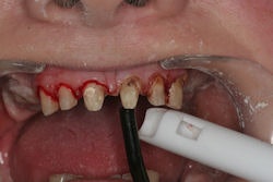
After scheduling a patient for gingival plastic surgery, Jonathan Abenaim, D.M.D., decided to try an experiment. "Usually, this is a bloody procedure that takes six to eight weeks to heal," he said, "so I decided to treat one side of the mouth for 60 seconds per tooth with a substance I had started using."
When he finished the surgery, the side he did not treat with the new substance was bleeding profusely. The side he did treat with it was already starting to heal.
The substance Dr. Abenaim used -- ozone -- has percolated on the fringes of dentistry for decades. As described in part I of this two-part series, dentists are now using ozone "off-label" without the explicit approval of the FDA. But recent research has encouraged advocates to claim victory for their favorite molecule.
![]() |
| Ozone advocates say the treatment can stop bleeding, as shown in this photograph of gingival plastic surgery done with an electrosurge, where the right side (from the viewer's perspective) was treated with ozone and the left side was not. Image courtesy of Jonathan Abenaim, D.M.D. |
Ozone also accelerates the clotting of blood, according to Julian Holmes, B.D.S., the clinical director of Lime Technologies, a design and product development company focused on ozone-based products. "When a stream of ozone is directed over cut fine capillaries, the clotting chemical cascade mechanism is activated and accelerated," he said.
A study in Quintessence International (March 2008, Vol. 39:3, pp. 231-236) conducted by a group of researchers from Philipps-University of Marburg in Germany found that ozone is suitable for disinfecting root canal systems.
But perhaps most striking, according to the São Paolo study, ozone "has been shown to stimulate remineralization of recent caries-affected teeth after a period of about six to eight weeks."
Similarly, in a study published in Gerodontology (December 2003, Vol. 20:2, pp. 106-114), Dr. Holmes and colleagues treated 260 subjects, each with two primary root carious lesions (PRCLs), some classified as soft PRCLs and some as leathery noncavitated PRCLs. The researchers randomly assigned the lesions to two groups: the first group was treated with ozone, and the second without ozone. After six months, the lesions were clinically reassessed. Forty-eight of the ozone-treated soft PRCLs had reversed from severity index 4 to 3, while 189 of the ozone-treated leathery PRCLs had reversed from severity index 1 to 0. The control lesions did not show significant change.
Remineralization depends on the acidity of a lesion and surrounding saliva, Dr. Holmes explained. "Ozone starts the process of remineralization by changing the pH from acidic to basic -- from about 3.4 to 6.7," he said. Acidic by-products produced by bacteria are oxidized by ozone to CO2 and products that have less acidity. This, plus the addition of mineral washes, promotes the remineralization process, he said.
Case closed? Not so fast, according to George Stookey, M.S.D., Ph.D., a professor emeritus at Indiana University and CEO of Therametric Technologies, a caries detection company. "Ozone has no ability to remineralize enamel," he said. "It may be useful for caries prevention by reducing the number of oral microbes present that cause demineralization and allowing other measures (saliva, fluoride) to remineralize incipient carious lesions more efficiently."
The studies showing ozone's effectiveness don't include large numbers of patients and don't incorporate controls and blindness, Dr. Stookey added. "The data available at this time are inadequate to demonstrate that ozone is useful for the prevention of dental caries and to support its approval by the FDA," he said.
There's other evidence as well. An in vitro study done in 2007 at the Academic Centre for Dentistry Amsterdam in the Netherlands found that ozone has no effect on remineralization of dental lesions. And a review published in the February 2008 Journal of Dentistry (Vol. 36:2, pp. 104-116) showed only that ozone is promising and that more clinical trials are needed.
"U.S. dentists should become aware of the facts and data about ozone," Dr. Stookey said. "They should consider it to be another promising antimicrobial agent that may be a useful component of a caries-preventive regimen. But until adequate data from well-designed clinical trials become available, its use in dentistry in the appropriate manner cannot be recommended."
Copyright © 2009 DrBicuspid.com
















