
Q: I am thinking of adding short-term orthodontics to my practice. I have no orthodontic experience. Is this a good use of time and money?
A: Yes. There are a few short-term orthodontic courses available. I recently became a Six Month Smiles provider by attending a Six Month Smiles training course.
My previous orthodontic experience was minimal, although I have done "instant orthodontics" using porcelain laminates. As a restorative dentist, I would give patients with crooked teeth the choice between traditional orthodontics or laminates. In many cases, the laminates would not be necessary if the teeth were moved orthodontically. The problem is that many adult patients do not want to spend two or more years in orthodontic treatment, whether it is with conventional braces or clear aligners. So a lot of teeth were prepared that otherwise didn't need to be. I've wanted a better solution for these adult patients, which is why I became a Six Month Smiles provider.
I also decided to get involved with short-term orthodontics because the technology has changed many aspects of orthodontics. What was once tedious and complex is now much easier. One significant advancement is the use of nickel titanium wires. This is the same Ni-Ti that changed the way we do endodontics. The shape memory of the Ni-Ti wires is utilized to easily move teeth and with very light forces. Most dentists think that orthodontics involves complicated wire bending, but that is no longer true. The brackets are positioned in the proper location and the Ni-Ti wires then gently guide the teeth into the desired position.
The two-day Six Month Smiles courses are given all over the U.S., and I attended one close to my home. I was not disappointed! Again, I had minimal orthodontic experience, and the course was specifically designed to bolster my very limited orthodontic background from dental school and bring it into the 21st century. The treatment philosophy of Six Month Smiles is to provide a dramatic cosmetic change without significantly changing aspects of the posterior occlusion. As you might expect, proper case selection is imperative, and that was focused on at the course.
Patient wearing Six Month Smiles brackets and wires. All images courtesy of Six Month Smiles.
One of the keys to making it easier for adults to accept treatment is the use of the unique clear brackets and white wires that are part of the Six Month Smiles system. They blend incredibly well with the adjacent tooth structure. Combining shorter treatment times and nearly invisible brackets and wires is what makes this type of treatment so attractive for adults who have been living with crooked teeth.
After doing the appropriate diagnostic work -- including a cosmetic analysis, radiographs, and photographs -- an orthodontic diagnosis is made and treatment goals established. The treatment goals are centered on correcting the patient's chief cosmetic complaints. Ultimately, by straightening the teeth or closing spaces, we are greatly increasing symmetry and gently transforming the smile into one that is visually pleasing.
An added bonus is that we are also able to greatly improve the occlusion. Although we aren't significantly altering the posterior occlusion, we can improve deep bites, correct minor crossbites, and ensure that the mandibular envelope of function is not constricted. This gives us valuable control over aspects of the teeth that we are unable to address with veneers.
Once the treatment goals are established and the patient understands and signs the consent form, impressions are taken. The impressions are sent to the Six Month Smiles case processing facility, and the Patient Tray Kit is received after five days of processing time. The Patient Tray Kit includes bonding trays in which the brackets have already been strategically positioned. This is my favorite aspect of the system because it allows me to easily and predictably start the case. It's perfect for a busy general practice.

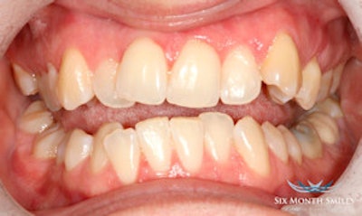
Before and after images of a Six Month Smile case.
The brackets are then bonded to the teeth and the initial archwires are placed. After instructions are given to the patient, we can now appoint the patient for their monthly adjustment visit. Based on the type of case and how things are progressing, the adjustment visit may include changing the archwires to a larger size or doing some conservative interproximal reduction. In most circumstances, Six Month Smiles cases are completed in four to eight months, with six months being the average.
Once the teeth are in the desired position, the occlusion is stable, and both the clinician and patient are happy with the results, an appointment can be made for the removal of the braces. As with any type of orthodontic treatment, retention is important, and there are both fixed and removable options. Retention can be obtained by fabricating removable appliances from a 0.40 splint material, or Six Month Smiles can make a fixed retention wire that is bonded to the teeth. At this point a little bleaching and possible minor recontouring of the teeth can add the finishing touches to the smile.
The bottom line is that short-term orthodontic cases like this one can be predictably treated by general dentists using the Six Month Smiles system.
Marty Jablow, DMD, lectures and consults extensively about integrating technologies into the modern dental practice (www.dentaltechnologycoach.com). If you've got a technology question for Dr. Jablow, send it to [email protected].
The comments and observations expressed herein do not necessarily reflect the opinions of DrBicuspid.com, nor should they be construed as an endorsement or admonishment of any particular idea, vendor, or organization.


















