
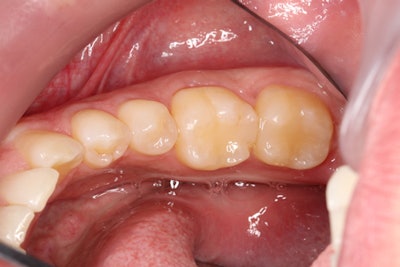
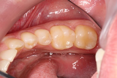
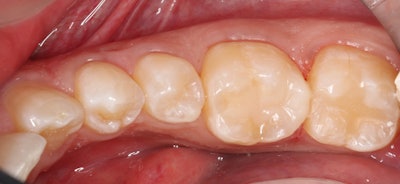
A 45-year-old patient presented to the dental practice complaining chiefly of a feeling of sharpness against his tongue. He was also experiencing slight sensitivity to sweets. An intraoral examination showed that an existing composite restoration on tooth #19 had fractured on the distal lingual aspect.

Clinical objective

There are many acceptable choices for replacing this failing composite. After discussion, the patient consented to having an indirect hybrid ceramic restoration placed. The advantages of the indirect hybrid ceramic include that it provides a stress-reduced restoration that is stronger and more wear-resistant compared with direct composites. Also, because it is heat cured when manufactured, it virtually eliminates voids and porosities.
The Katana Avencia block (Kuraray Noritake) was chosen due to its outstanding margins, fast milling, and simplicity of polishing. A new innovative resin cement with dual-monomer technology (Panavia SA Cement Universal, Kuraray Noritake) was chosen due to its proprietary, next-generation silane technology (LCSi). This new technology provides a durable bond to hybrid ceramic materials and also glass-based ceramics. This resin cement overcomes previous concerns about the challenges of bonding to hybrid ceramic blocks.
Technique
After the patient was anesthetized, isolation was obtained using the Isolite system (Zyris). The old restoration was removed, and the preparation was refined to eliminate any undercuts and decay, as well as ensure that it would draw. Following removal of the old restoration, a fine diamond (Red Stripe) was used to refine the preparation prior to taking the digital impression.

The CEREC Primescan system (Dentsply Sirona) was used for same-visit digital dentistry, starting with a digital impression, which was then used to design the restoration. Shade A2 was selected for the Avencia block, which milled in approximately 4.5 minutes.
Next, after removing the sprue, the restoration was steamed to remove the lubricant used in the milling process, after which it was seated to verify distal contact.
After verifying fit during try-in, the restoration was removed and polished for about 45 seconds at no more than 4,000 rotations per minute (rpm) using a Meisinger Twist Polisher for hybrid blocks.

The intaglio was then microetched at 32 pounds per square inch (psi) with 50-micron aluminum oxide particles, cleaned using 37% phosphoric acid for 5 seconds, and then steam cleaned.

Prior to beginning this final stage, the Isolite was again placed in the mouth. In preparation for cementation, the tooth was pumiced, then the enamel was selectively etched with 37% phosphoric acid for 10 seconds, rinsed off thoroughly, and dried.
For partial coverage restorations, the author prefers to enhance adhesion by using a universal adhesive (Clearfil Universal Bond Quick, Kuraray Dental), which is indicated for use with Panavia SA Cement Universal if additional adhesion is desired.
At this point, the Panavia SA Cement Universal was injected directly onto the onlay and seated. There was no need to apply a separate primer to the intaglio. It was then tack cured for 3 seconds (Bluephase G4, Ivoclar Vivadent, after which the excess could be peeled off, making for an easy cleanup.

Unlike most resin cements, Panavia SA Cement Universal provides virtually equal bond strengths whether light cured or self-cured for 2 to 4 minutes. The strength of the self-cure bond is within 1 megapascal of that achieved with light curing.

Advantages
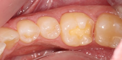
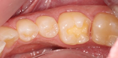
By choosing to proceed with an indirect restoration made of a hybrid ceramic block and bonding with Panavia SA Cement Universal, this procedure offered many advantages for both the clinician and the patient. This approach provided a superior restoration in terms of the hardness and lack of voids or porosities due to the restorative material. It also conserved tooth structure. Further, since it was an indirect restoration, C-factor stresses were greatly reduced, which will provide a durable, well-sealed restoration.
Greg Campbell, DDS, maintains a private practice dedicated to excellence in general, family, and cosmetic dentistry in Long Beach, CA. Dr. Campbell lectures internationally on computerized dentistry and advanced-adhesion minimally invasive dentistry.
The comments and observations expressed herein do not necessarily reflect the opinions of DrBicuspid.com, nor should they be construed as an endorsement or admonishment of any particular idea, vendor, or organization.