
Whether it's porcelain veneers or composite bonding, anterior restorative treatment will make your reputation -- or destroy it. With that, our third of the seven deadly sins has nothing to do with tooth-born materials. It's about the tissue.
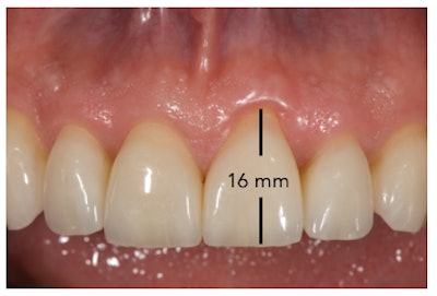
I'll explain. Take this image. Always considering our first deadly sin (assumptions and not making them on behalf of our patient's desires), the average length of a good-looking central incisor falls between 10 mm and 12 mm.
All images courtesy of David Rice, DDS.Sometimes, a patient presents in a fashion that makes that easy, meaning his or her tissue isn't an issue. Other times, however, we've taken all the proper steps we spoke about in the second deadly sin. We've perfectly positioned our incisal edges. Ideally at rest (don't forget how lip length and mobility play a big role, as I have discussed in my past smile design articles), we measure up from that perfect edge and -- uh oh -- we see this.

Now I know you know what's best, and that's a graft. But does your patient? How do you explain it?
Back to our first sin and assumptions. When we've had the conversation around whether the person is looking for a 10/10 smile, and we've heard the patient is looking for that, we have permission to inform our patient that a little perio surgery is needed. Likewise, when we hear that the patient is happy with an 8.5/10, and we explain exactly what that translates to (on the front end, before we prep teeth), we can test drive without perio surgery in our temporaries.
In either scenario, and with either porcelain or composite, we're in a great spot. Our patient will return with his or her temporaries and either love them as the 8.5/10 or ask how we can deliver the 10.

This next case, although often simpler to treat when we have adequate sulcular depth and won't violate biologic width by removing tissue, is more where dentistry sees reputation-killers.
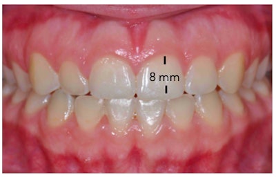
Why is that? It's typically the wear case. The anteriors are short because of moderate to severe wear. The dentist violates the second sin on incisal edge position, or he or she doesn't at least relay that ideal position to the ceramist.
Without that communication, the lab technician goes to our very first image and thinks about the average length of a good-looking central (10-12 mm). The lab technician sees the prep, measures down 10 mm to 12 mm, and delivers a central that is 2 mm to 4 mm too long.
Friends, when the tissue is the issue, to avoid our third deadly sin, we have to do three things:
- Address our first two deadly sins, per our last several articles (see them below).
- Measure up to see where our tissue should be and address it.
- Relay that ideal final position to our ceramists so they see what we see.
Remember, in the perfect family photo you have hanging at home, the teeth themselves matter -- and so does the frame in which you put that photo.
Hit me up in the comments section below with your thoughts and or any help you need. I believe that when you want to establish an incredible reputation, anterior smile design is a massive opportunity.
The comments and observations expressed herein do not necessarily reflect the opinions of DrBicuspid.com, nor should they be construed as an endorsement or admonishment of any particular idea, vendor, or organization.


















