
Last week on the seven deadly sins, we discussed our first (and only) nonclinical sin assumption. This week, let's jump right into sin No. 2: tooth position.
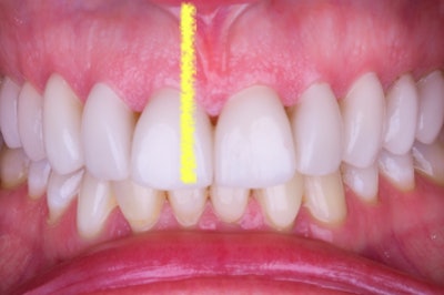
This sin is a biggie and encompasses three major principles: the smile line, incisal edge position, and midline.
What are our goals with smile design?
- Know the what
- Understand the why
- Integrate the how to into your practice
The smile line
When your patient smiles, does his or her maxillary dentition follow the lower lip?
This image is a perfect yes to this question. An important question to ask is: Is this is an arch thing? How would this patient look if her anterior four followed the lower lip and nothing else did? What if her anterior six did and nothing else? Would her smile still strike you as a 10 out of 10?
Here's another question: As you see her perfect smile and take in the concept of the smile line, when should the maxillary teeth not follow your patient's lower lip?
Does that make sense? Not all lower lips smile symmetrically. To that end, not all maxillary lips smile symmetrically. In fact, not all upper and lower lips even have the correct proportions to each other. Some lips are too thin, some are too full, and some are unequal.
All images courtesy of David Rice, DDS.Imagine this was your patient. What day do you know this patient will notice something is off? You got it: insert day! What does your patient see as off? Is it her lip? She's had that her entire life. So is it her new veneers? Do you see how this works?
The smile line is critical to developing a gorgeous smile. It is, however, equally important that we assess the smile line and our patient's lips prior to picking up a handpiece. Reenter the first sin of smile design: assumptions. Never assume your patient sees what you see, how you see it, and when.
Incisal edge position
As they say, life imitates art that imitates life. Nothing could be truer about our knowledge of incisal edge position. Natural teeth imitate denture teeth that imitate natural teeth. Are you confused? Let me clarify.

We all learned the 22-mm rule in dental school as we learned how to set the maxillary centrals in a wax rim for an upper denture. It states that if we measure from the depth of the vestibule, down 22 mm, in most cases, that is where the incisal edge should land vertically.
We also learned the 11-mm rule. We learned that if we measure from the center of the incisive papilla forward, the facial boundary of our central incisors would land there.

Here's the crazy thing: These rules work, and we use them every day as we assess the landing point of our patient's incisal edge position.
But what else did we learn in removable?
I don't know about you, but I learned about the rest position and 2 mm to 4 mm of incisal edge showing (depending on age). I also learned about speech (having our patients count from 50 to 55 to ensure the incisal edges hit on the wet/dry line of the lower lip).
What we didn't learn were the details and, as they say, the devil is in the details.
So let's go back to that rest position and 2 mm to 4 mm of show. Is that a rule? Or (hint, hint -- let's remember our first sin of smile design and ask this: Does every older patient want to look his or her age today?) are there instances where the incisal edge is exactly where it needs to be and no tooth shows? How about instances where the incisal edge is exactly where it needs to be and more than 4 mm shows?

Above is the same patient. On the left, preop. On the right, postop from a tremendous plastic surgeon. We're not the only ones with rules. What a facial surgeon knows is that maxillary lips have textbook ranges just like teeth. In fact, 12 mm to 15 mm in length is a nice range.
So if we place the ideal incisal edge position in this patient preop, we see nothing. If we place it postop, we're spot on.
Here's the short story: Let's learn beyond dental school. This is one reason we see too many 15+-mm teeth. We knew the sin, but we didn't understand the why and how to alter the dental plan.
Be sure to come back next week. If this jogged a memory or two and opened your thoughts to new information, you'll love what's coming next.
The comments and observations expressed herein do not necessarily reflect the opinions of DrBicuspid.com, nor should they be construed as an endorsement or admonishment of any particular idea, vendor, or organization.



















