
What if there were a treatment what would arrest caries and prevent further dental infection without traditional drilling and filling?
There is: silver diamine fluoride (SDF).
"Why drill when the infection is gone?" asks Dr. Steven Duffin, D.D.S., who frequently uses silver diamine fluoride on an off-label basis in his general practice in Oregon. He calls it the "most effective agent" he's seen in 30 years to arrest caries.
In addition, he believes that SDF's potent antimicrobial effectiveness is also long-lasting and pervasive. "I have also noticed that kids who are treated with SDF do not get new cavities three-plus years out," he said in an interview with Dr.Bicuspid.com. "It seems to have a protective effect beyond the treated lesion."
But SDF has yet to win FDA clearance. And it is plagued by a well-known and unsightly drawback: It leaves behind a "black crust" on caries lesions.
Long history
The first medicinal use for silver dates to 1,000 B.C., when it was used for storing potable water. The antimicrobial use of silver compounds has been demonstrated over the past century for preventing and treating ocular, surgical, and dental infections. In addition to caries prevention, silver's bacteria-killing effectiveness is used in a range of applications, including acute burn coverings, catheter linings, water purification, and hospital gowns.
“The real drawback is the problem with black discoloration.”
— James Wefel, Ph.D., University of Iowa College of Dentistry
Silver nitrate was used for years to treat caries and under fillings to kill bacteria by dentists who called it "Howe's solution," after Percy R. Howe, D.D.S., the Forsyth Institute's research director who introduced it in 1917. But it eventually fell out of favor due to its unfortunate side effect of staining teeth black.
More recently, clinical trials of Asian children have shown SDF's superior effectiveness in preventing and arresting caries, according to a recent review of the research (Journal of Dental Research [JDR], February 2009, Vol. 88:2, pp. 116-125).
According to the researchers, five attributes make the compound attractive:
- Control of pain (it's noninvasive)
 - Control of infection (inherent in the material)
 - Ease of use (you can paint it on)
 - Affordability of material (it costs just pennies per application)
 - Minimal time for reapplication (one minute, once per year)
 
Combing the literature, the authors found two high-quality clinical trials comparing the caries preventive effectiveness of SDF to that of fluoride varnish. They found that SDF's lowest prevented fractions for caries arrest and prevention were 96.1% and 70.3%, respectively. In contrast, fluoride varnish's highest prevented fractions for caries arrest and prevention were 21.3% and 55.7%, respectively. These results suggest that SDF is more effective than fluoride varnish and may be a valuable caries-preventive intervention, the researchers concluded.
Clinical trials
The first trial cited in the JDR report investigated the effectiveness of topical fluoride applications on Chinese preschool children (JDR, November 2002, Vol. 81:11, pp. 767-770). Topical fluoride applications were used on 375 children ages 3 to 5 years with carious upper anterior teeth. The researchers found that an annual application of SDF -- 44,800 parts per million of fluoride (ppm F) -- was 87% more effective in stopping caries than sodium fluoride varnish (22,600 ppm F), which was applied every three months to carious lesions.
The second trial involved primary teeth in 976 Nepalese schoolchildren (JDR, July 2009, Vol. 88:7, pp. 644-647). Researchers investigated the caries-arresting effectiveness of a single spot application of 38% SDF with tannic acid as a reducing agent, 38% SDF alone, 12% SDF alone, and no SDF. Only the single application of SDF (with or without tannic acid) was effective in stopping caries after six months, one year, and two years, they found, concluding that SDF provides an alternative when restorative treatment for primary teeth is not an option.
While the studies demonstrated SDF's anticaries effectiveness, the researchers also recognized that it can blacken caries lesions (but not sound tooth surfaces). Newer experiments are examining silver fluoride followed by potassium iodide, which produces a white silver iodide reaction. However, the ability of this product to prevent caries in vivo has not yet been demonstrated, according to the authors of the JDR survey.
Covering up
In the meantime, Hien Ngo, B.D.S., M.D.S., Ph.D., a professor at the University of Queensland School of Dentistry, has patented a formula to eliminate the blackness problem associated with SDF.
After applying SDF to a cavity, he then applies a potassium iodide solution before filling the cavity with a glass ionomer. Dr. Ngo claims his treatment prevents the cavity and the cement from turning black.
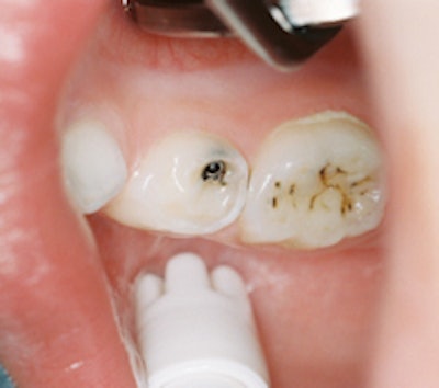
![]()  | 
| Two teeth treated with silver diamine fluoride. The tooth on the right shows caries that have been arrested, while the tooth on the left shows arrested incipient caries. Image courtesy of Steven Duffin, D.D.S. | 
"In my clinical experience, this treatment will get rid of 80% to 90% of the blackness," he wrote in an e-mail to DrBicuspid.com.
James Wefel, Ph.D., director of the Dows Institute for Dental Research at the University of Iowa College of Dentistry, said SDF has great potential if the blackness problem can be solved.
"SDF seems to be able to give a greater fluoride uptake and therefore prevention, so it seems to work pretty well," he said in an interview with DrBicuspid.com. "It works like any other fluoride, but it's a concentrated delivery. The real drawback is the problem with black discoloration."
He pointed out that Dr. Ngo's approach would need U.S. clinical trials before the FDA could grant marketing clearance for it, however.
"SDF needs further study and further development to gain wide acceptance," Wefel noted. "It needs randomized clinical trials ... to be able to break into the market here. The black discoloration issue must be difficult to solve or they would have found a way to overcome it."
'Just a scar'
Dr. Duffin tells his young patients the discoloration is just a scar. And when parents object, he places a tooth-colored glass ionomer over it.
"The important thing is having an antimicrobial step to control and arrest the caries prior to entering a restorative phase," he said. "If you believe that caries is an infection and should be treated with microbiological tools prior to restorative reconstruction, silver fluoride is that tool."
Dr. Duffin noted that SDF has been used in Australia, South America, Southeast Asia, and various European countries. He also uses SDF on adult patients, particularly those with root caries, and on Alzheimer's patients or those with impaired ability to maintain good hygiene. In addition, he said, two dental textbooks mention SDF as a future treatment for caries: Dental Caries: The Disease and Its Clinical Management, 2nd Edition (Wiley-Blackwell, 2008) and Early Childhood Oral Health (Wiley-Blackwell, 2009).
Most parents choose SDF treatments for their children rather than conventional drilling and filling because it eliminates the need to restrain them with a papoose board or to take them to a hospital for general anesthesia, Dr. Duffin said.
He obtains SDF in a solution containing 25% silver fluoride from Graham Craig, M.D.S., Ph.D., a dental researcher in Sydney, Australia. He applies it with a microbrush, then covers the area with fluoride varnish to ensure that it is retained in the lesion. He repeats the process at two-, four-, eight-, and 12-week intervals. SDF works on every tooth surface, Dr. Duffin noted, and is particularly effective on root caries.
SDF has been submitted to the FDA for marketing clearance, and Dr. Duffin said he is "anxious for them to take some action" so the material can become available. But he noted that an economic factor also may be involved: Painting on SDF would obviously not be as lucrative as traditional drilling and filling for dentists.
There's also the tradition of getting rid of anything black in patients' teeth. "Dentists are used to looking at a dark spot and calling it a cavity," Dr. Duffin said.
But he stressed that the alarming growth of caries among children is a public health problem that dentists must address.
"There are increasing caries rates," Dr. Duffin noted, "and we need creative new ways to treat the disease."
Copyright © 2010 DrBicuspid.com




















