
In 2018, I received a group email. The subject was, "Please pray for Callie L. ..."
I have known Callie since she was born. I grew up with her mother and uncle, and we have been close friends for more than 40 years. I nervously open the email wondering what had happened. My greatest fears were realized as I began to read. Callie had been in a very serious car accident in Tennessee where she was going to college. She was in intensive care. She was stable, and although her condition was not life-threatening, there appeared to be some significant bodily damage. A few days later, the news became worse. Callie was paralyzed from the neck down.

In the coming months, Callie would be transported to Atlanta to undergo intensive physical therapy in an attempt to restore movement. At the time of transport, she had recovered movement of her arms and hands, although her movements were difficult and clumsy. However, from her chest down, she was still numb and unable to move.
In December, Callie was going to be coming home for a short visit during Christmas. Following this, she was to go back to Atlanta to continue her physical therapy. Before coming home, Callie's father came into my office. As we talked, I could see and hear the pain they were going through, watching their daughter battle to recover from this horrible accident.
As we talked, he told me that Callie's teeth had become crooked (she had been treated when she was younger, and her maxillary right second premolar had never erupted prior to her leaving for college). He felt that was one thing he could do for her: Straighten her teeth and allow her to be proud of her smile again.
Callie's mom had lost her job over this ordeal, as she had moved to Atlanta to live with Callie and transport her to her appointments. Her father had missed significant time at work through all of this. As all of us would have done in this situation, I told him this one was on us.
I told him, given her living situation, I wanted to treat her with clear aligners because we would not be able to check in on her very often. I told him to bring her in when she came home for her visit and we would start the process. She was to be home for three weeks, and we would have just enough time to get her aligners ordered and delivered. I had just started working with Spark clear aligners from Ormco, and I wanted to try using these for her case.
Callie came to our office for her photos and digital intraoral scan. She was in a wheelchair and struggled with the function of her arms, still needing a lot of assistance to get around. I had seen pictures of Callie and read the updates on her CaringBridge website, but to see her in person was quite emotional. To see someone you have always known now unable to walk and very limited in taking care of herself is jarring to say the least.
Callie, however, had a completely different attitude than those of us around her. She was bound and determined to overcome this. She wasn't sure if she would ever walk again, but she knew she would become independent. Her spirit and attitude were inspiring.
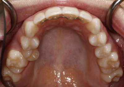
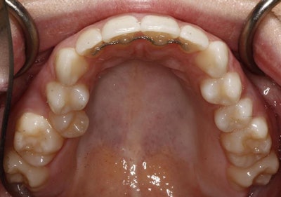
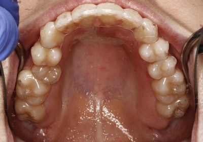
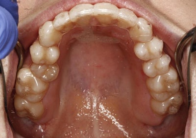
She was Class I with collapsed arches on the right side, particularly where the maxillary right second premolar had been delayed in erupting.


Unfortunately, it erupted quite palatally and rotated completely backward 180°. As mentioned, I wanted to treat Callie with Spark clear aligners to avoid any repair/emergency appointments and because we would not be able to see her for regular adjustment appointments. Spark clear aligners are designed to treat a range of mild to complex malocclusions, including Class II cases, semierupted teeth, and extractions. I submitted Callie's case to Ormco. Prior to finalizing her aligner treatment within the Approver software, we determined when Callie would be back again to our area. She was to return in about five to six months. Callie's treatment was to consist of 36 active aligners, with interproximal reduction (IPR) to be performed at stage 21.
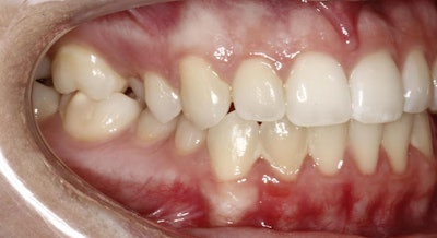
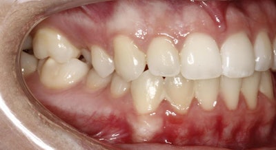
We were planning on weekly aligner changes and set the IPR to coincide with her next trip home. The main goal of the treatment was to develop the maxillary arch to create room for the blocked out maxillary right second premolar. Once the arch was developed and the space created for the premolar, the aligners would begin the process of bringing the premolar buccal into the arch. The mandibular arch would be uprighted and broadened to match the maxillary arch. Three weeks after Callie's scan was submitted, we delivered aligners to her, along with placing attachments. Our plan was to see her the next time she returned home.
About five months after delivery of the aligners, Callie returned home for another visit. We performed the required IPR and verified the aligners were tracking properly. The fit was perfect, and the teeth were tracking along right on schedule.

More importantly, though, Callie was much more independent. She was able to get around in her wheelchair with no help and was working on getting her modified driver's license, with hand controls. She was determined to get this as soon as she could to start reestablishing some independence and allow her mom to go back to work. Callie would return again in four months, which would work out pretty ideally with the end of her 36 aligners.
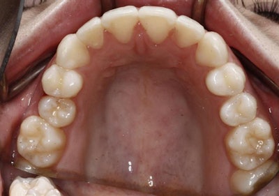
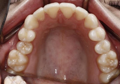
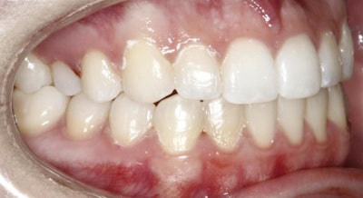
Roughly nine months after the delivery of Callie's Spark aligners, she moved back home, having finished her long route of intensive physical therapy. She completed her 36 Spark aligners, wearing the last set for about three weeks. We were preparing to take a scan for a set of refinement aligners. However, upon examining her teeth, I was amazed at the result. Both arches had been broadened exactly how I wanted them to be. Her upper right second premolar had been brought out into the arch right where the setup had programmed it to go. Although it wasn't ideal due to being 180° rotated, it fit the arch nicely and the occlusion fit well. Callie and I looked at her teeth together, and we both decided we were happy with the result and decided to scan instead for her lingual bonded retainers and finish treatment. No refinements, just one round of 36 Spark aligners.


Callie was now driving independently and had begun speaking publicly at events, using her experiences in motivational ways to inspire others. Her ability to speak in front of people is remarkable.
When terrible tragedies like this occur, there is always the question of why. Some people believe things happen for a reason, while others believe life is a game of chance and random events. Regardless of our beliefs, we all have choices in how we respond to difficult events or circumstances. Callie has chosen to use her tragedy to help others. She, of course, struggles with the sadness of what she has lost. However, what she has done in utilizing this experience is truly remarkable. If you have the chance, please watch her first-ever public speaking appearance. You can also watch a video interview with Callie about her experiences.
Callie is a natural speaker and will help so many people overcome their struggles by her inspiring words. And she'll be able to do this with confidence that her smile is just as beautiful as she is.
Bill Dischinger, DMD, received his dental degree from Oregon Health & Science University School of Dentistry and his certificate in orthodontics from Tufts University. He is in private practice in Lake Oswego and Canby, OR, and he also serves as an adjunct professor in orthodontics at University of the Pacific in San Francisco. As an Ormco key expert, Dr. Dischinger was invited to trial the Spark clear aligner system in 2018 and is lecturing on his experience with Spark worldwide. Having employed the Damon system for 21 years, he is also a Damon system certified educator and lectures around the world on a variety of subjects.
The comments and observations expressed herein do not necessarily reflect the opinions of DrBicuspid.com, nor should they be construed as an endorsement or admonishment of any particular idea, vendor, or organization.