A man was diagnosed and treated for a rare infection that caused a mass in the lateral pterygoid muscle after temporomandibular disorder (TMD) treatment failed to ease his persistent jaw pain. The case report was published in the Cureus Journal of Medical Science.
Ultimately, the man was diagnosed with cysticercosis, an infection caused by the larval stage of the tapeworm. This case emphasizes the importance of clinicians considering various diagnoses and raising awareness for the management of rare facial pain syndromes, the authors wrote.
"This case highlights the importance of considering uncommon conditions in the differential diagnosis of TMD and facial pain to ensure timely and appropriate therapeutic interventions," wrote the authors, led by Arunkumar KV of the ITS Centre for Dental Studies and Research in India (Cureus, July 21, 2024, Vol. 16:7, e65040).
A 36-year-old man with persistent jaw pain
A 36-year-old man initially sought dental care for persistent tooth pain in the right maxillary region, leading to the extraction of a mobile third molar. Despite routine extraction, he developed a dry socket with severe pain and delayed healing, according to the case report.
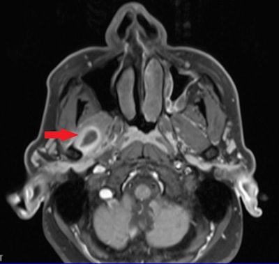
Further evaluation for persistent pain revealed a provisional diagnosis of TMD, which worsened despite conservative treatments. Consultations with an ear, nose, and throat specialist and a neurologist, including magnetic resonance imaging (MRI), identified a cystic lesion in the right lateral pterygoid muscle that was suspected to be cysticercosis, the authors wrote.
The axial section of the MRI shows a ring-enhancing lesion within the left lateral pterygoid muscle, suggestive of cysticercosis. Image courtesy of KV and colleagues. Licensed under CC BY 4.0.
Furthermore, initial treatment with albendazole was unsuccessful, prompting surgical exploration. An excisional biopsy confirmed the diagnosis of cysticercosis, and postoperative albendazole therapy led to symptom resolution. Follow-up at three months showed no recurrence or complications, with the prognosis being excellent, they wrote.
A rare condition
Cysticercosis, which is caused by the larval stage of the tapeworm Taenia solium (T. solium), is difficult to diagnose due to nonspecific symptoms that can mimic conditions like TMD. Cysticerci, the larvae of T. solium, infect pig muscles and tissues, with humans contracting the infection by consuming undercooked pork or ingesting T. solium eggs, they wrote.
"This case highlights the diagnostic journey and management challenges encountered by a patient presenting with facial pain, paraesthesia, and dental sensitivities," KV and colleagues concluded.




















