
Other than caries, tooth pain may be due to musculoskeletal, neuropathic, or neurovascular issues, according to a case report published recently in the Journal of Anesthesia and Pain Medicine.
Clinicians must consider these causes to avoid patients' unnecessary, permanent treatment, the authors stated.
"Surprisingly, myofascial pain characterized by trigger points in tender muscles can mimic a toothache, leading to misdiagnosis and inappropriate treatment," wrote the case report's authors, led by Jitendra Chawla of the All India Institute of Medical Sciences (J Dent Anesth Pain Med, September 26, 2024, Vol. 24:5, pp. 367-374).
Healthy 30-year-old with no history of trauma
A healthy 30-year-old man with no history of medical conditions presented with debilitating pain in his lower right molar region. The patient reported that the onset of the pain began two months prior after playing a football match. However, the man said he had not experienced direct trauma to his jawbone or facial muscles, wrote the researchers.
The pain worsened in the mornings and while the man was eating. Despite undergoing a restoration, the pain persisted, according to the case report.
The intraoral photograph shows composite restoration of the mandibular right first molar. Images and captions courtesy of Chawla et al. Licensed under CC BY 4.0.
Further questioning revealed that the man had a restricted mouth opening and a history of sleep-related bruxism.
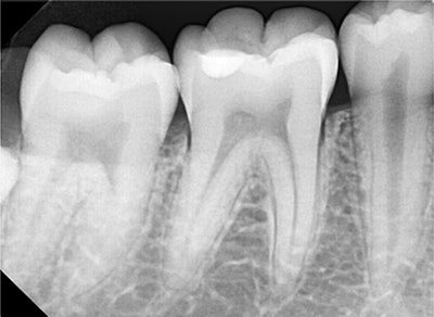
The intraoral periapical radiograph shows radiopaque restoration of the mandibular right first molar involving the enamel and the upper one-third of the dentine. The radiograph does not show any pulpal or periapical pathology.
Physical exam reveals an unusual, overlooked pain source
Temporomandibular disorder (TMD) was ruled out because the man did not have the clicking sound in the joint characteristic of TMD pain, nor did he have pain in the preauricular region or pain that increased with jaw movements. Fibromyalgia was ruled out as well because of the localized nature of the pain.
During examination, palpation of the man's neck and masticatory muscles and pterygoid did not reproduce the pain. However, a trigger point was identified in the man's left superficial masseter muscle. The muscle had a taut band that when palpated reproduced the identical pain in the man's opposite (right) first molar.
An injection of 2 ml of lidocaine directly into the trigger point relieved the man's pain. In addition, he was prescribed analgesics, heat packs, warm saline rinses, and physiotherapy involving gentle massage of the trigger point and gentle stretching of the masseter muscle. He was also referred for cognitive behavioral therapy for sleep-related bruxism.
Three weeks later, the left superficial masseter was again injected with lidocaine and the man was evaluated one week, one month, and three months later reporting complete pain relief at each follow-up.
A surprising cause of tooth pain
Toothaches are the main reason patients seek dental care, but chronic orofacial pain, estimated to affect 10% to 15% of U.S. adults, is primarily related to musculoskeletal or neuropathological conditions, the researchers said.
MFP is a noninflammatory, musculoskeletal disorder characterized by pain and muscle stiffness and nodules in the skeletal muscle fibers, termed MTrPs, that can be palpated. These MTrPs can mimic toothaches, leading to misdiagnoses, unnecessary treatment, and chronic pain, the researchers said.
How to isolate a myofascial-induced toothache diagnosis
The case report also reveals that conventionally, referred pain involves the site and source of the pain on the same side, but persistent muscle pain can activate the central nerves via neurotransmission, which in this man's case caused the pain he was experiencing in the masseter to be felt on the right mandibular molar region.
Mirror-image pain, or MIP, where pain is experienced on the unaffected side of the body due to an injury or other issue, continues to mystify researchers. Multiple theories have been proposed, including that MIP is due to inflammatory immune factors sending pain signals through specific neural pathways that result in pain being experienced on the unaffected side of the body.
The orofacial pain pathway from the masseter muscle (local pain pathway) and mandibular molar teeth (mirror-image pain pathway) is shown.
The most reliable method for diagnosing MFP is to reproduce the pain a patient is experiencing by applying pressure to trigger points in the muscle, the researchers said.
"Reproducing the patient’s familiar pain is crucial for diagnosis. Considering non-odontogenic sources when the teeth appear normal in radiographs and evaluating ipsilateral and contralateral referral patterns are important steps in reaching a diagnosis," Chawla and colleagues said.



















