
What if you could fill without having to drill? Scottish dentists have experimented with the approach on primary molars for years. Now a new study suggests the technique works.
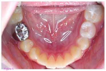
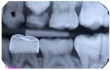
The study examined the Hall technique, in which dentists do not prepare the surface of the tooth they are treating or use anesthesia. Instead, they simply cement a preformed metal crown over the surface, sealing the cavity underneath.
If more studies validate the approach, it could prove especially useful for dentists who aren't trained to work with children, said Kevin Donly, D.D.S., M.S., chair of pediatric dentistry at the University of Texas at San Antonio who specializes in caries. "If there were enough data to support it, then, yes, I could see it being used," he said. He noted that other researchers have already achieved promising results with similar experiments.
|
|
The technique was pioneered by Norna Hall, a dentist working in a remote rural part of Scotland. Children there had a high incidence of caries and families were reluctant to seek treatment. She theorized that patients would accept her approach because it was simpler and less painful.
The crown arrests the damage to the tooth, the researchers argue, because a complete seal with glass ionomer cement deprives the bacteria in the cavity of nutrients.
To test the technique, investigators from Dundee Dental Hospital and School in Dundee, Scotland, compared 128 primary molars treated with conventional restorations to 128 primary molars treated with the Hall technique. For the conventional restorations, dentists drilled out lesions and restored cavities with glass ionomer cement, amalgam, compomer, composite, a preformed molar crown, or a fissure sealant. Four teeth got no restoration. Each Hall technique treatment was paired with a conventional one in the same mouth.
They found that using the Hall technique resulted in less discomfort and less failure of the restorations. Dentists rated 89% of the teeth treated with the Hall technique as causing no apparent discomfort, compared to 78% for the conventionally treated teeth; 77% of children, 83% of the people taking care of them, and 81% of the dentists liked the Hall technique better.
Upon follow-up of at least two years, 2% of the Hall technique teeth had signs and symptoms of irreversible pulpal disease compared to 15% of the conventionally treated teeth. Five percent of the Hall technique teeth failed because of caries progression or loss of the restoration, compared to 46% of the conventional restorations.
Though the crowns increased the heights of the treated teeth by about 2.5 mm, all the patients maintained full occlusal contact after treatment.
|
The researchers concluded that the "Hall technique appears to offer an effective treatment option for managing dental caries in primary molar teeth."
Dr. Donly noted that the investigators had excluded lesions that damaged the pulp or caused pain, and the researchers think the technique can't be used in these types of lesions.
Although Dr. Donly wants to see more research to validate the technique, he said the report doesn't come as a surprise because previous attempts to seal cavities without preparation have also proved successful. In a 1998 article in the Journal of the American Dental Association, researchers at the Medical College of Georgia reported that they had been able to arrest caries for at least 10 years by sealing lesions with minimal preparation.
Likewise, several studies have validated the atraumatic retorative technique (ART), in which dentists use only manual instruments to prepare surfaces for a glass ionomer restoration. ART was devised specifically for developing countries where compressors and other automatic equipment aren't available.
Similarly, Dr. Donly said, the Hall technique may prove especially useful in rural and impoverished areas where access to dental care is difficult. "If a child demonstrates any discomfort or uneasiness during treatment, many [general practitioners] may choose not to treat the child." If the parent can't afford a trip to a larger city where pediatric dentists are available who are trained in calming a child with behavior guidance, sedating children and providing care in a hospital setting, the tooth may not be saved.





















