
Clinicians successfully removed a 16-mm fragment of a nickel-titanium (NiTi) endodontic instrument that became stuck in a man's tooth during a root canal by using a simple rather than a professional extraction method, according to a new case report.
A modified tool from a hollow tube-based extractor system, an etching needle, and a hand file were used to remove the separated instrument fragment after several unsuccessful attempts to dislodge it using an ultrasonic tip while magnified under a dental microscope.
"Sometimes a simple method can be an effective alternative of a professional method," wrote the authors, led by Mothanna AlRahabi, PhD, an associate professor in the department of restorative dental science at Taibah University College of Dentistry at the in Saudi Arabia (Sage Open Medical Case Reports, February 21, 2020).
Instrument separation happens
The separation of NiTi rotary instrument is a common problem for clinicians. They are more prone to separating than those made of stainless steel. Separation occurs at a rate ranging between 0.5% and 5%, according to the authors. This type of error, which may be due to inadequate experience using the instruments, can complicate root canal treatments and lead to unnecessary pain and additional procedures.
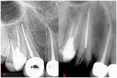
A 30-year-old man was referred to the Taibah University College of Dentistry with an intracanal separated NiTi rotary instrument in the canal of his right canine.

The man had undergone a root canal retreatment at a general dental practice before he was referred. He was diagnosed with apical periodontitis, which critically influences the outcome of root canal treatment. Therefore, removing the separated instrument was necessary to improve the prognosis of the root canal, according to the authors.
X-rays showed that the separated instrument extended along the root canal to the apical foramen of the canine, which had a metal ceramic crown. After the crown was isolated, another x-ray was taken and showed another small separated instrument in the pulp chamber, they wrote.

Clinicians inserted the etching needle into the canal of the tooth and interlocked it with the large separated instrument. Then, a hand file was inserted into the needle lumen, which shackled the separated instrument. The fragment of the rotary file was removed from the patient's tooth after three tries using this method, according to the authors. An ultrasonic tip was used to remove the small instrument in the pulp chamber.
Prevention tips

To prevent separation of NiTi rotary instruments, the case report authors summarized the following preventive measures for clinicians:
- Avoid too much stress on NiTi rotary instruments during use.
- Evaluate the root canal curvature carefully, since severe curvature increases the chances of separation.
- Use lubricant and large amounts of irrigation when using instruments.
- Use a gentle pecking motion when using instruments.
"The best way to manage nickel-titanium rotary instrument separation is to prevent the separation," the authors wrote.