Modulating the responses of B cells in blood cells may effectively treat or prevent the symptoms of type 2 diabetes and periodontitis simultaneously, according to a new study in the Journal of Leukocyte Biology (August 2014, Vol. 96:2, pp. 349-357).
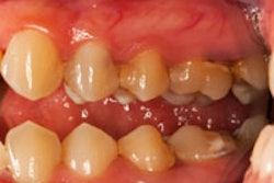
The study by Boston researchers revealed that B cells, an important blood cell involved in human immune response, promote inflammation and bone loss in type 2 diabetes-associated periodontal disease.
The study findings support the idea that treatments that affect the responses of B cells may treat or prevent inflammation and bone loss, they noted.
"Our study identified common inflammatory mechanisms shared by type 2 diabetes and periodontal disease," stated Min Zhu, PhD, microbiology researcher at Boston University School of Medicine, in a press release. "It paves the way for the development of novel therapeutics which aim to simultaneously treat both type 2 diabetes and its complications."
In this study, scientists used a mouse model of periodontal disease and applied it to two groups. The first group had a genetic alteration that destroyed all B cells. The second group had normal B cell levels.
Both groups showed a similar extent of oral bone loss and inflammation when fed a low-fat diet, but neither group developed obesity and type 2 diabetes. However, when they were fed a high-fat diet, the mice became obese and developed type 2 diabetes. In the group with B cells, the mice showed oral bone loss and inflammation. These results were absent in the group with the altered gene that knocked out the B cells.
The findings suggest that B cell response might be a viable target for pharmacological intervention in both type 2 diabetes and periodontal disease, as well as potentially in other type 2 diabetes complications.
"This is an exciting study that helps us better understand why some complications related to type 2 diabetes occur," said John Wherry, PhD, deputy editor of the Journal of Leukocyte Biology. "For those who are dealing with periodontal disease related to type 2 diabetes, this is especially exciting. B cell targeting drugs are available for B cell cancers, and these new findings could open the door for applying new B cell-based treatment strategies for periodontal diseases and perhaps other inflammatory conditions."


















