
Imaging helped physicians identify and remove a spinning-top toy from an 83-year-old woman in Florida who had end-stage dementia and an oral fixation. Details of the case were published on January 20 in the Cureus Journal of Medical Science.
Initially, junior radiology residents missed the object, which was 3 cm in diameter, on the patient's chest and brain computed tomography (CT) images and chest radiographs. Three days after she was admitted to the hospital, a new team revisited the scans and identified an object in the woman's hypopharynx. The case highlights the challenges of diagnosing and extracting foreign objects in patients with dementia, according to the authors.
"This case provides an opportunity to discuss the unique challenges of performing anesthesia on patients undergoing the extraction of a large upper aerodigestive tract foreign body, complicated by end-stage dementia," wrote the group, led by Dr. Dharam Persaud-Sharma, PhD, from the University of Florida in Gainesville.

Complicated by dementia
People diagnosed with frontotemporal lobar dementia experience a marked decline in cognitive and social behaviors and often develop hyperorality. In addition to excessive chewing, sucking, or eating, they often eat items other than food. Once patients enter the later stages of dementia, many become nonverbal, making hyperorality a greater risk because they are unable to explain what they swallowed or that an object is stuck. As dementia progresses, patients may also have difficulty swallowing.
These factors should be considered for patients who experience changes in eating habits or upper airway distress, according to the authors. Physicians must rely on thorough reviews of imaging results to diagnose and treat. Foreign objects may be removed from the oropharynx and oral and nasal cavities without anesthesia; however, sedation is often more appropriate in patients with dementia who have trouble cooperating or following directions.
An 83-year-old woman
In this case, the patient was brought to the emergency department due to increased drowsiness. Her decreased responsiveness and general malaise led her to be admitted for further evaluation. She was nonverbal and her appetite had decreased, and the patient's daughter said her mother had a productive cough with increased shortness of breath. She remained in a lethargic state and didn't respond to verbal commands. The woman had previously been diagnosed with advanced frontal lobe dementia, hypertension, and high cholesterol.
The patient's vital signs were normal. Lab tests showed she had low potassium levels, as well as platelet and red and white blood cell counts. A chest CT showed an incidental 1.6-cm nodular lesion in the woman's thoracic wall and several nodules in the thyroid. Saliva tests showed infection with the bacteria Mycoplasma pneumonia, which causes coughing and a sore throat. She was treated with antibiotics and an inhaled steroid, according to the authors.
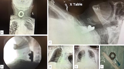
Three days after she was admitted to the hospital, a new medical team took over and noticed the woman had noisy breathing, which occurs with obstructed air flow. The team reexamined the previously obtained chest x-ray and brain and chest CT scans. The images revealed a large foreign body in the woman's hypopharynx-upper esophagus. The object was not described in the report initially read by junior radiology residents.
The patient failed a swallow study, and images were acquired of her neck soft tissue and anterior-posterior cervical spine, which revealed a 5.4 x 2.3 x 4.3-cm foreign body lodged in her hypopharynx anterior to the C3-C6 vertebrae, the authors wrote.
Surgery and recovery
The woman was placed under general anesthesia to avoid erratic movements that could result in puncturing her esophagus. An otorhinolaryngologist surgeon used direct laryngoscopy and angled forceps for the extraction. Rapid sequence induction without application of cricoid pressure was used due to the position of the object, which was a spinning-top toy, they wrote.
After the operation, the patient was more awake and active and her appetite returned; however, her neuropathological oral-fixation behaviors increased dramatically, the authors noted.
Patients with dementia who ingest foreign objects pose unique challenges for clinicians.
"Different methods of object retrieval vary widely and ultimately the characteristics of the aspirated object, the degree of obstruction and the patient's ability to protect their airway should be considered when choosing the best approach for patients with dementia," they wrote.